Zahntransplantation und 3D-Planung
Dr. Dr. Rainer Fangmann, M.Sc. M.A., ZTM Fabian Zinser,
Veröffentlicht 03/2018 in der Digital Dentistry unter dem Titel
"Zahntransplantation und 3-D-Planung"
Einleitung
„In der modernen Zahnmedizin gibt es verschiedene Möglichkeiten des Zahnersatzes. Zahnlücken können mit auf dentalen Implantaten abgestützten prothetischen Versorgungen, festsitzenden zahngetragenen Brückenversorgungen, abnehmbaren prothetischen Rehabilitationen, kieferorthopädischem Lückenschluss oder durch die Transplantation eines Zahns behandelt werden“ (1) , wobei die Zahntransplantation wahrscheinlich so alt ist wie die Zahnheilkunde selbst.
Die Zahntransplantation wurde bereits von den alten Ägyptern durchgeführt, welche ihre Zähne bei Bedarf den Pharaonen zur Verfügung stellen mussten. Der Literatur zu-folge wurden Zähne in China bereits 2.000 Jahre v. Chr. in Europa erstmalig von den Griechen und Römern transplantiert. Zu dieser Zeit wurden ausschließlich allogene Zahntransplantationen durchgeführt, wobei als Spender Besiegte, Tote, Sklaven oder Arme dienten. Die Empfänger entstammten meist der gehobenen Schicht. Erste schriftliche Anhaltspunkte über die Zahntransplantation findet man im Werk Opera chirurgica des berühmten Pariser Barbier-Chirurgen Ambroise Paré aus dem Jahr 1594, in dem er beschreibt, wie einer Prinzessin ein Zahn entfernt und dieser sofort durch einen Zahn eines ihrer Kammermädchen ersetzt wurde. 1728 berichtete Pierre Fauchard in seinem Buch Le chirurgien dentiste von einer Zahntransplantation, bei der er einem französischen Offizier einen kariös zerstörten Eckzahn entfernte und diesen durch einen Eckzahn eines untergebenen Soldaten ersetzte. Der Zahn soll sechs Jahre im Mund des Patienten überlebt haben.
Es war der erste authentische Fallbericht einer allogenen Zahntransplantation. Ausführliche Beschreibungen von Zahntransplantationen findet man in den Werken Natural history of the human teeth (1771) und A prac- tical treatise on the diseases of the teeth (1776) von John Hunter, der als Begründer der Wissenschaft der Replantation und Transplantation von Zähnen angesehen wird. […] 1934 wurden von Heinrich Hammer erstmals histologische Untersuchungen zur Heilung transplantierter Zähne durchgeführt. (2) 1939 untersuchte dieser die histologischen Vorgänge bei der Transplantation nach Vernichtung der Wurzelhaut. (3) Er zeigte erstmalig, dass es bei vollständigem Erhalt des Desmodonts zur Einheilung des Transplantats unter Ausbildung einer physiologisch und histologisch dem gesunden Zahn vergleichbaren parodontalen Verankerung kommt. Ist das Desmodont jedoch zerstört, heilt das Transplantat knöchern ein und wird resorbiert. (4)
„Die autogene Zahntransplantation stellt (somit) eine in der Zahnmedizin bekannte Methode für den Zahnerhalt/ Zahnersatz dar, insbesondere im jugendlichen Gebiss.“ (5) In den gängigen Fachbüchern wird diese Methode mit guter Prognose generell empfohlen(6,7), Hinrichs (8) kam in seiner Dissertation „Die autogene Zahntransplantation: Ein Evidenz basierter systematischer Review“ zu folgenden Ergebnissen: Die Langzeitergebnisse der autogenen Zahntransplantationen betragen im Mittel 75,6 Prozent, bei neueren Studien ab 1986 sogar 83,9 Prozent, wobei Zähne mit nicht abgeschlossener Wurzelentwicklung eine bessere Prognose als Zähne mit abgeschlossener Wurzelentwicklung haben. Die Zahnüberlebensrate ausgewachsener Zähne beträgt in neueren Studien 79,6 Prozent nach zehn Jahren. So kommt Hinrichs zudem Ergebnis, dass diese Methode bei diesen Zähnen empfohlen werden kann. Der Aspekt der Wurzelbehandlung des transplantierten Zahns bezogen auf den Erfolg der Transplantation wird wie folgt beschrieben: „Die besten Ergebnisse ergeben sich für eine elektive postoperative Wurzelfüllung oder bei einer Wurzelfüllung bei pathologischem Röntgenbild. Ob die Wurzelfüllung ganz unterbleiben kann, bleibt aufgrund mangelnder Daten unklar. Wohl abzuraten ist von einer intraoperativen Wurzelfüllung.“ (9) Ein weiterer Gesichtspunkt ist sicherlich das postoperative Management. Hinrichs kommt zu folgender Zusammenfassung: „Die Fixierung der Zähne sollte gemäß der Art des transplantierten Zahns erfolgen. Für dritte Molaren eignen sich semirigide Fixierungen, für Prämolaren Nähte, für Eckzähne starre Fixierungen. Eine Korrelation zwischen Dauer der Fixierung und Zahnprognose wurde nicht gefunden.“ (10) Regoje kommt in ihrer Dissertationsschrift „Erfolgsraten nach Zahntransplantation. Eine retrospektive Studie“ zu folgender Conclusio: „Die Zahnkeimtransplantation bietet eine vorhersagbare Therapievariante zum Ersatz nicht angelegter oder verloren gegangener Zähne. Transplantierte Prämolaren scheinen in Hinsicht auf das Überleben und den Erfolg transplantierten Molaren überlegen zu sein. Die Planung und Behandlung sollte interdisziplinär unter Beteiligung eines Kieferorthopäden und eines Oralchirurgen erfolgen.“ (11) Durch die 3-D-Planung kommt auch der Zahntechnik mit ihrer 3-D-Drucktechnik ein bedeutender Stellenwert in der Planung zur Zahntransplantation zu, wobei die Teamarbeit (12) weiter in den Mittelpunkt rückt.
Transplantationsfälle
Im weiteren Verlauf des Fachbeitrags wird die Behandlung mittels Zahntransplantation anhand zweier Fälle beschrieben.
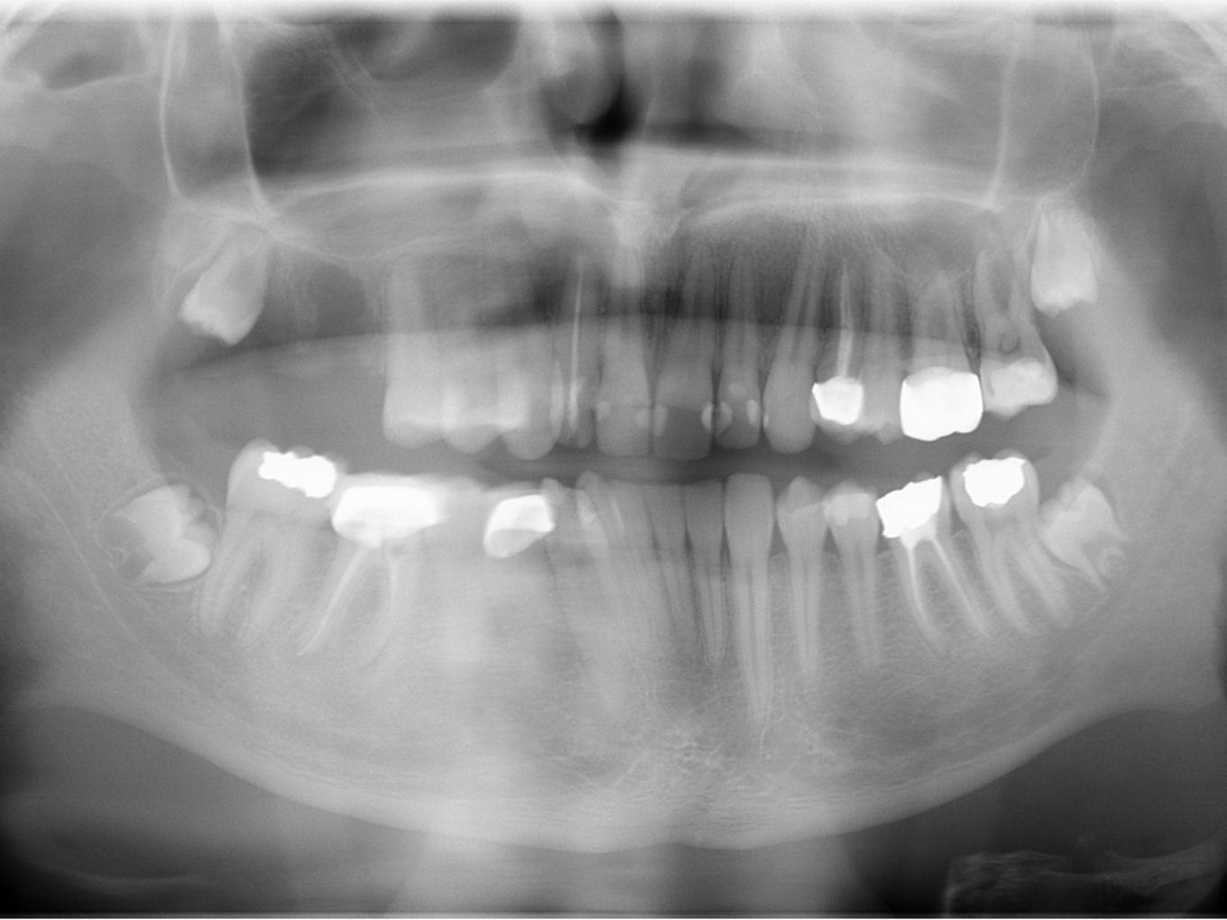
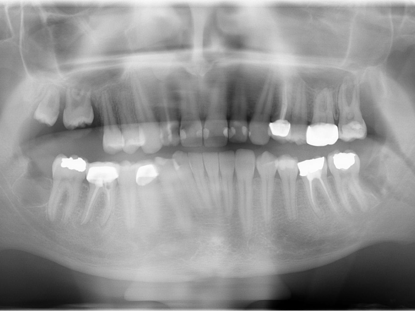
Im ersten Fall sind einem jungen männlichen Patienten frühzeitig die Molaren 6 und 7 im ersten Quadranten verloren gegangen (Abb. 1). Anamnestisch ist hier eine schlechte Mundhygiene bei bestehendem Nikotinabusus zu erwähnen. Zum Zeitpunkt der Entfernung des ersten Molaren im ersten Quadranten beim Hauszahnarzt bei bereits fehlenden zweiten Molaren war dem Patienten die Dramatik des Zahnverlusts bewusst geworden. Dieser war vom Hauszahnarzt zur Entfernung aller Weisheitszähne als vorbereitende Maßnahme für die dann zu folgende Prothetik überwiesen worden. Nach intensiver Aufklärung und Rücksprache mit dem Hauszahnarzt fand eine nachhaltige Umstellung der Lebensgewohnheiten statt. Die Mundhygiene wird jetzt regelmäßig in einem engmaschigen Recall-Programm hauszahnärztlich überprüft. Gleichzeitig nimmt der Patient an einer hausärztlich überwachten Raucherentwöhnung teil. Es wurde der dritte Molar der Gegenseite an die Stelle des ersten Molaren im ersten Quadranten verpflanzt (Abb. 2). Der Weisheitszahn im ersten Quadranten verblieb in situ. Dies ist die klassische Technik und auch Planung, wie sie in der Zahnheilkunde ihre tägliche Anwendung findet. Der Hauszahnarzt oder der Mund-Kiefer-Gesichtschirurg berät den Patienten über diese Möglichkeit.
Im zweiten Fall war ein junger männlicher Patient mit persistierendem Milchzahn 75, der in Okklusion stand und keine Resorption seiner Wurzeln aufwies, zur Transplantation eines Weisheitszahns in diese Region überwiesen worden. Da diese klassische analoge Diagnostik bei retinierten Weisheitszähnen nicht möglich ist, wurde hier der digitale Weg mit DVT und Intraoralscan gewählt. So konnte im Vorfeld die Umsetzbarkeit dieses Überweisungsauftrags für den Patienten exakt berechnet werden (Abb. 3).
Präoperative Planung
Die präoperative Planung umfasst klinische, radiologische und im Einzelfall modellbasierte Analysen von Transplantatlager und Transplantat. Voraussetzungen für eine erfolgreiche Therapie sind die Compliance des Patienten, der richtige Zeitpunkt, „Auswahl eines in Größe und Form geeigneten Transplantats, eine günstige okklusale Situation (Kieferrelation), ausreichende Platzverhältnisse des Transplantatlagers in allen Dimensionen sowie eine ausreichend breite attached Gingiva. […] Im Falle eines zu geringen mesial-distalen Platzangebots für das Transplantat kann eine initiale kieferorthopädische Therapie diskutiert werden.“ (13) Falls der Patient eine kieferorthopädische Vorbehandlung für inakzeptabel ansieht oder diese nicht Erfolg versprechend ist, besteht noch die Möglichkeit, die approximale Oberfläche des Transplantats bzw. der Nachbarzähne um bis zu 0,5 mm zu reduzieren. Hierbei muss sichergestellt werden, dass kein Dentin
Digitales 3-D-Modell für die Zahntransplantation
Mithilfe eines herkömmlichen DICOM-Datensatzes kann das digitale Planungszentrum alle notwendigen Schritte hierfür durchführen. Im vorliegenden Fall lud der Chirurg den DICOM-Datensatz in die coDiagnostiX Software (Dental Wings) und stellte diesen Datensatz dem Zahntechniker über die caseXchange Plattform (Dental Wings) zur Verfügung. Bei dieser Plattform können die beteiligten Benutzer einander sicher und rechtskonform Patientendatensätze über das Internet zur Verfügung stellen. Die jeweiligen Planungsschritte werden protokolliert, sodass jeder Benutzer die Änderungen nachvollziehen kann.
Der Zahntechniker importierte den Datensatz und segmentierte diesen im Anschluss entsprechend der Vorgaben des Chirurgen. Unter Segmentierung versteht man das „Reinzeichnen“ der knöchernen Strukturen, sprich, das Entfernen von Strahlungsartefakten. Im Unterkiefer erfolgte die Segmentierung als Ganzes. Darüber hinaus wurden die Zähne 18, 28, 38 und 48 einzeln dargestellt. Für eine fehlerfreie Darstellung des Knochens und der Zahnhartsubstanz müssen die Schwellwerte vom Zahntechniker in der Software exakt definiert werden. Im Anschluss an den so erstellten Datensatz erfolgte das Exportieren des Unterkiefers sowie der einzelnen Zähne als STL-Datensatz.
Damit die so erstellten Datensätze der Zähne im Nachgang auch im Handling einwandfrei sind, fügte der Zahntechniker mithilfe des externen CAD-Programms Meshmixer (Autodesk) aus okklusaler Richtung jeweils einen STL-Datensatz einer Stecknadel an. Somit konnte der Chirurg die Zähne problemlos greifen und austesten, welcher Zahn für die Lücke infrage kam. Die so gewonnenen Datensätze wurden auf ihre Konsistenz geprüft, bereinigt und für den 3-D-Druckprozess validiert. Abschließend erfolgte die Umsetzung im 3-D-Druckverfahren und der Versand in die chirurgische Praxis (Abb. 4–9).
Fazit – Zahntransplantation und 3-D-Planung
Es existieren nur zwei Review-Artikel zur autogenen Zahntransplantation. Die Review-Arbeit von Natiella et al. (15) aus dem Jahre 1970 fasst alle damals bekannten Studien zusammen. Die zweite Review-Arbeit zu diesem Thema stammt aus dem Jahre 2010 von Nolte und Hinrichs et al. (16), basierend auf der Dissertation von Hinrichs (17) aus dem Jahre 2005. Dieses Autorenteam konnte zeigen, dass die autogene Zahntransplantation ein gutes Langzeitergebnis aufweist. Die Datenqualität (Evidence III) dieser Review-Arbeit lässt aber nur eine „schwache Empfehlung“ (18) zu. Die mittlere Zehnjahres-Überlebensrate stieg von 70 auf 84 Prozent. Die Überlebensrate der ausgewachsenen transplantierten Zähne zeigt, dass die Methode auch für Patienten mit abgeschlossenem Wurzelwachstum empfohlen werden kann. Die 3-D-Diagnostik, der Intraoralscan und der 3-D-Druck können sicherlich die Vorhersagbarkeit des Ergebnisses, bezogen auf die Platzverhältnisse für den Patienten und behandelnden Mund-Kiefer-Gesichtschirurgen bzw. Oralchirurgen, noch deutlich erhöhen. Zumindest ist diese Methode eine wirtschaftliche Alternative zur enossalen Zahnimplantation und sollte in die allgemeine Patientenaufklärung,
1 Roden, R. D.; Yanosky, M. R. (2013): Autotransplantation: The vital option for replacement of missing anterior teeth in developing dentition. In: Semin Orthod 19, S. 13–23.
2 Hammer, Heinrich (1934): Der histologische Vorgang bei der Zahntransplantation. In: Dtsch Kieferchir 79 (1), zuletzt geprüft am 10.05.2018.
3 Hammer, Heinrich (1939): Der histologische Vorgang bei der Zahntransplantation nach vernichten der Wurzelhaut. In: Dtsch Zahn Mund Kieferheilk (4), S. 179–184.
4, 11 Regoje, Andrea (2014): Erfolgsraten nach Zahntransplantation. Eine retrospektive Studie. Dissertation. Medizinischen Universität Graz, Graz. Department für Zahnärztliche Chirurgie und Röntgenologie der Universitätsklinik für Zahn-, Mund und Kieferheilkunde, zuletzt geprüft am 10.05.2018.
5, 16 Nolte, Dirk; Hinrichs, Karsten; Lange, Stefan (2010): Die autogene Zahntransplantation: Ein aktueller evidenzbasierter systematischer Review. In: DZZ 65 (11), S. 38–56, zuletzt geprüft am 10.05.2018.
6 Horch, Hans-Henning (Hg.) (1989): Zahnärztliche Chirurgie. 2. Aufl. München: Urban & Schwarzenberg (Praxis der Zahnheilkunde, 9).
7 Tsukiboshi, Mitsuhiro; Andreasen, Jens O. (2001): Autotransplantation of teeth (Quintessence books).
8,9,10, 17 Hinrichs, Karsten (2005): Die autogene Zahntransplantation: ein Evidenz basierter systematischer Review. Dissertation. Ruhr-Universität Bochum, Bochum. Klinik für Mund-, Kiefer- und Plastische Gesichtschirurgie, zuletzt geprüft am 10.05.2018.
12 Fangmann, Rainer; Zinser, Fabian; Makowski, Karsten (2015): Teamarbeit in der digital ausgelegten Patientenversorgung. In: Implantologie Journal 19 (10), S. 32–39.
13 Filippi, Andreas; Bauß, Oskar (2009): Zahntransplantation. Biologischer Zahnersatz für Kinder, Jugendliche und manche Erwachsene. Berlin: Quintessenz.
14 Andreasen, Jens O.; Hakansson, Lennart (1992): Atlas of replantation and transplantation of teeth. Philadelphia Saunders.
15 Natiella, J. R.; Armitage, J. E.; Greene, G. W. (1970): The replantation and transplantation of teeth. A review. In: Oral surgery, oral medicine, and oral pathology 29 (3), S. 397–419.
18 Guyatt, Gordon H.; Oxman, Andrew D.; Kunz, Regina; Falck-Ytter, Yngve; Vist, Gunn E.; Liberati, Alessandro; Schünemann, Holger J. (2008): Going from evidence to recommendations. In: BMJ (Clinical research ed.) 336 (7652), S. 1049–1051. DOI: 10.1136/bmj.39493.646875.AE.
Eskici, Antranik (1989): Reimplantation und Transplantation von Zähnen. In: Hans-Henning Horch (Hg.): Zahnärztliche Chirurgie, Bd. 9. 2. Aufl. München: Urban & Schwarzenberg (Praxis der Zahnheilkunde, 9), S. 199–229.









