Provisorische Sofortversorgung eines zahnlosen Unterkiefers
Dr. Dr. Rainer Fangmann, M.Sc., ZTM Fabian Zinser, Dr. Ulrich Gilbhard, Dr. Jürgen Süllwold
Veröffentlicht 02/2013 im Digital Dental Magazin unter dem Titel
"Die Versorgung des zahnlosen Unterkiefers im Zeitalter des digitalen Workflows"
Laut der Vierten Deutschen Mundgesundheitsstudie (DMS IV) ist in den letzten Jahren ein gesteigertes Bewusstsein breiter Bevölkerungskreise für den Wert gesunder und schöner Zähne festzustellen. Die Daten dieser Studie aus dem Jahre 2005 zeigen, dass in der Altersgruppe der 65- bis 74-jährigen im Durchschnitt 14,2 Zähne fehlen (1997: 17,6 Zähne) und dass 22,6 Prozent (1997: 24,8 Prozent) völlig zahnlos sind. Allerdings gibt es in dieser Altersgruppe auch einen klaren Trend zu festsitzendem Zahnersatz. Besonders auffällig ist, dass die Zahl von Implantatversorgungen von 1997 bis 2005 auf mehr als das Dreifache angestiegen ist.¹
Dabei gilt zu berücksichtigen, dass sich Patienten in der Regel eine minimalinvasive Behandlung mit rascher Genesung, geringen postoperativen Beschwerden und einer möglichst schnellen Wiederherstellung der Gesellschaftsfähigkeit wünschen. Leider nimmt nur jeder vierte Patient völlig entspannt im Behandlungsstuhl Platz. Fünf Prozent aller Patienten leiden sogar an einer echten Zahnarztphobie.² Digitale Lösungen helfen uns heute dabei, den Ansprüchen der Patienten unter den oben genannten Aspekten gerecht werden zu können. Mit dem Datensatz des dentalen Volumentomographen (DVT), einem intelligent einsetzbaren digitalen Workflow und der Zusammenarbeit mit einem digital ausgerichteten zahntechnischen Labor können wir den Wunsch nach schönen Zähnen bis ins hohe Alter erfüllen, ohne den Patienten bei der Behandlung unnötigem Stress auszusetzen.
Es war die Arbeitsgruppe um den Zahnarzt Paulo Malo und den Biomechaniker Bob Rangert, die das Konzept der angulierten Implantate zur Versorgung mit festsitzenden Brücken im Unterkiefer klinisch etablierten. ³,⁴ Der Ausgangspunkt dieser Methode ist eine posteriore Abstützung auf einer breiten prothetischen Basis von anterior nach posterior. Erzielt wird das durch die Angulierung der distalen Implantate. Die Arbeiten von Malo und Rangert demonstrierten eine kumulative Überlebensrate von über 97 Prozent bei einer prothetischen Überlebensrate von 100 Prozent und erbrachten damit den Nachweis, dass vier Implantate einer festsitzenden Brücke im Unterkiefer stabilen Halt geben. Behandlungsabläufe mit multiplen chirurgischen Eingriffen sind für Patienten eine Strapaze und bedeuten eine Einschränkung ihrer Lebensqualität. Die Methode von Malo und Rangert konnte durch die Nutzung des vorhandenen Knochenangebots und einer Sofortversorgung den invasiven Behandlungsablauf auf lediglich eine Sitzung reduzieren und folglich die Patientenakzeptanz deutlich erhöhen. Das Konzept der „Sofortversorgung mit reduzierter Implantatanzahl“⁵, wie es Bayer et al. in ihrem Buch aus dem Jahre 2011 beschreiben, wird im folgenden Fall, erweitert um den digitalen Workflow und am des SmartFix Konzeptes des Ankylos® C/X-Systems dargestellt.
Allgemeine und dentale Anamnese
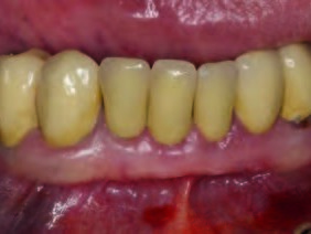
Bei dem nachfolgenden Fall handelt es sich um eine 74-jährige Nichtraucherin im guten allgemeinen Gesundheits- und Ernährungszustand. Die Patientin steht in keiner medikamentösen Behandlung und hat keine Allergien. Erstmals kam die Patientin 2006 zu uns in die Behandlung. Damals zeigte sich bei ihr eine insuffiziente Teleskoparbeit im Oberkiefer, wobei die Pfeilerzähne einen deutlichen Lockerungsgrad aufwiesen. Seitens der Patientin bestand der Wunsch nach hochwertiger Rehabilitation des Unterkiefers möglichst mit einer Sofortversorgung. Eine zwischenzeitliche Versorgung mit einer schleimhautgetragenen Interimsprothese schied aus. Darüber hinaus war für die Patientin wichtig, eine möglichst geringe Belastung durch die anstehende Behandlung zu erfahren. 2006 wurde der Oberkiefer mit acht Ankylos® Plus Implantaten und einer Sofortversorgung bei gleichzeitig durchgeführtem Sinuslift rehabilitiert. Acht Monate später erfolgte die endgültige prothetische Versorgung in Form einer festen Verblendkeramik auf NEM-Gerüst unter Verwendung von Titan-Abutments (Abb. 1). Seit dieser Behandlung ist die Patientin in einem regelmäßigen Prophylaxe-Programm eingebunden und zeigt eine sehr gute Compliance.
Planungsphase der Sofortversorgung
Nach der digitalen Übermittlung der DVT-Daten an das zahntechnische Labor folgte die Konvertierung und Segmentierung des DICOM Datensatzes mit Hilfe der SimPlant®-Software (Materialise Dental GmbH, Deutschland) (Abb. 2). In diesem Zuge erfolgte die Darstellung der Nervi alveolares beidseitig und das virtuelle Extrahieren aller noch vorhandenen Zähne. Mit Hilfe des Optical Scan Moduls wurde ein konventionelles Situationsmodell der Ausgangssituation digitalisiert und in den Planungsdatensatz eingelesen (Abb. 3). Anhand der noch vorhandenen Zähne erfolgte die Referenzierung. Diese Vorgehensweise ermöglicht es, auf eine Bariumsulfat-Scanprothese zu verzichten. Die im DVT fehlenden Zähne wurden in diesem Fall über das Modell der Ist-Situation – mit der vorhandenen herausnehmbaren Prothese – digitalisiert. Sollte die aktuelle Versorgung jedoch in ästhetischer oder funktioneller Hinsicht insuffizient sein, kann ebenfalls mit einem digitalen oder analogen Wax-Up gearbeitet werden. Unser Planungskonzept im Team sieht vor, dass die Zahntechnik eine prothetische Vorabplanung erarbeitet. Hierbei werden die Implantate unter prothetischen Gesichtspunkten positioniert und mit realistischen Abutments versehen. Im Anschluss trifft sich das Team, ein chirurgischer und ein prothetischer Implantologe sowie ein Zahntechniker per Onlinesitzung (Teamviewer) zur Verfeinerung des Planungsvorschlages. Gemeinsam kann eine optimale Planung sowohl aus der chirurgischen als auch aus der prothetischen Perspektive erfolgen. Damit kennen auch alle Teammitglieder von Anfang an den gesamten Workflow und können den Therapieplan adaptieren.
Diese dreidimensionale Planung schafft einen chirurgisch und prothetisch vorhersagbaren Behandlungsablauf. Aufgrund der vorhandenen Knochensituation und den Extraktionsalveolen erfolgte die virtuelle Implantatpositionierung nach dem SmartFix Konzept (Dentsply Implants, Mannheim). Dieses Konzept sieht die Abwinklung der distalen Implantate um bis zu 30 Grad vor, mit dem Ziel, das prothetische Stützfeld zu vergrößern (Abb. 4). Die initiale Angulation der Implantate wird durch speziell entwickelte angulierte Abutments ausgeglichen. Die Implantate in regio 032 und 042 mussten 6,5 – 7,0 mm unterhalb des krestalen Knochengrats positioniert werden, um ausreichend Primärstabilität zu garantieren (Abb. 5). Zum präzisen chirurgischen Glätten dieses scharf zulaufenden Knochengrats wurde neben dem eigentlichen ExpertEase™ Guide (Bohrschablone, Dentsply Implants, Mannheim, Abb. 6) ein Reduction Guide (Nivellierschablone, Materialise Dental GmbH, Gliching, Abb. 7) gefertigt. Dieser Reduction Guide ermöglicht dem Implantologen, das Implantatbett präzise vorzubereiten. Im Anschluss erfolgt die vollständig schienengestützte Implantation über die ExpertEase™-Übertragungsschablone. Diese Schiene weist einen definitiven Tiefenstopp auf und ermöglicht es, alle Schaftlochbohrungen sowie die Aufbereitung des Bohrstollens navigiert durchzuführen. Ferner ist das Inserieren des Implantates auch durch den ExpertEase™ Guide möglich. Beide Schienen werden stereolithografisch gefertigt. Die Genauigkeit der stereolithografisch gefertigten Übertragungsschablonen ist anderen Verfahren überlegen.⁵ Gerade im Hinblick auf Sofortversorgungen hat sich diese Verfahrenstechnik bewährt. Innerhalb der SimPlant® -Software lassen sich auch Querschnitte durch die Planung betrachten (Abb. 8).
Digitales Provisorium
Mit dem Digital Immediate Smile Model (Materialise Dental GmbH) ist es erstmals möglich, die aus der Planung stammenden Daten als offenen STL-Export zu erhalten. Neben der Information über die Position der Implantate und den dazugehörigen Abutments (Abb. 9) enthält der STL-Export gegebenenfalls auch „gematchte“ Optical Scan Modelle (Abb. 10). Diese können mit vielen CADProgrammen weiterverarbeitet werden. Zudem wird dem zahntechnischen Labor ermöglicht, ohne Zeitdruck präoperativ ein Sofortprovisorium zu erstellen. In diesem Fall wurden die STL Daten in die CAD Software „Zirkonzahn. Modellier“ (Zirkonzahn GmbH, I-Gais) geladen. Die Modellation des Provisoriums erfolgte anhand des Situationsscans (Abb. 11). Die verwendeten Retentionskappen für das Ankylos® C/X Implantatsystem (Dentsply Implants, Mannheim) wurden virtuell in der CAD Software hinterlegt und mit einem zusätzlichen „Spacer“ (Platzhalter) versehen. Das Sofortprovisorium wird nach dem chirurgischen Eingriff in „Passive-Fit-Technik“⁶ intraoral verklebt (Voco Structur 2 SC, VOCO GmbH, Cuxhaven),⁷ um etwaige Abweichungen der Implantatachse und –tiefe auszugleichen und eine Spannungsfreiheit zu gewährleisten.⁸ Bei einem geplanten Knochenabtrag von 6,5 – 7,0 mm mittels „Reduktionsschablone“ müssen die weiteren Schritte innerhalb der navigierten Implantation präzise aufeinander abgestimmt sein. Das geplante Behandlungsergebnis muss in jeder Hinsicht reproduzierbar sein (Abb. 12). Das Sofortprovisorium wurde auf einer fünfachsigen Fräsmaschine (M5, Zirkonzahn GmbH) aus Temp Premium (Zirkonzahn GmbH) gefertigt und poliert (Abb. 13 und 14). Die Retentionskappen wurden mit 120μm Aluminiumdioxid zur Retentionsvergrößerung gestrahlt.
Zahn- und implantatchirurgische Behandlung
Für die Allgemeinanästhesie erfolgte zunächst die zusätzliche Gabe eines typischen Infiltrationsanästhetikums. Intravenös wurde unmittelbar präoperativ das Antibiotikum⁹ Clindamycin 600 mg gegeben. Die Abbildung 15 zeigt die klinische Ausgangssituation. Nach der vorsichtigen Entfernung der nicht erhaltungswürdigen Zähne 44 bis 33 samt ihrer Überkronung (Abb. 16) wurde der Mukoperiostlappen vestibulär als auch lingual passend zu den erstellten Schablonen präpariert. Es wurde zunächst der Reduction Guide aufgesetzt (Abb. 17) und mit dem Piezotome (Acteon Germany GmbH, Mettmann) entsprechend der Planung der Alveolarfortsatz im Frontzahnbereich reduziert (Abb. 18). Es erfolgte der Wechsel auf den ExpertEase™Guide (Bohrschablone, Abb. 19). In Position 032 und 042 wurden jeweils Ankylos® C/X –A-Implantate (Durchmesser 3,5 mm, Dentsply Implants, Mannheim) der Länge 11 mm inseriert (Abb. 20 bis 22). Im nächsten Schritt wurden die angulierten Implantate mit gleicher Länge und Durchmesser in Regio 034 und 044 inseriert (Abb. 23). Die Implantatangulation bewirkt, dass die prothetische Unterstützungsfläche durch die schräge Implantatposition nach distal ausgedehnt und der ortsständige Knochen so optimal ausgenutzt wird.
Sämtliche entfernten Knochenpartikel und auch Bohrspäne wurden akribisch asserviert (Abb. 24). In den Positionen 032 und 042 wurden Ankylos® Balance Basisaufbauten C/ (GH 3,0 / Ø 5,5 mm, Kopfhöhe 2,4 mm) mit 15 N/cm eingeschraubt. Anschließend wurden die mittels Ankylos® Modellierhilfskappen für Balance Basisaufbau (Produktnummer 3104 5320) zahntechnisch hergestellten Retentionskappen (Wirobond® 280, BEGO Bremer Goldschlägerei, Bremen) mit 25 N/cm eingebracht (Abb. 25). Im nächsten Schritt wurden die angulierten Ankylos® Balance Basisaufbauten C (nicht indexierte Abutments) in Regio 034 und 044 / (GH 3,0, A30 / Ø 4,2 mm, Kopfhöhe 1,3 mm) ausgerichtet und ihren drehmomentspezifischen Vorgaben (angulierter ANKYLOS Balance Basisaufbau 15 Ncm, Aufbaukopf des angulierten ANKYLOS Balance Basisaufbaus 25Ncm) entsprechend eingebracht (Abb. 26). Dann wurde der virtuell geplante Interimszahnersatz eingepasst (Abb. 27). Anschließend wurden die leeren Alveolen und Knochendefekte mit dem gewonnenen autologen partikulären Material aufgefüllt. Dann erfolgte der typische Naht-Wund-Verschluss mit Einzelknopfnähten eines resorbierbaren Nahtmaterials (Resorba Medical GmbH, Nürnberg, Abb. 28). Nachdem die Patientin aus der Vollnarkose erwachte, wurde der Interimszahnersatz verschraubt, eingegliedert und in Okklusion gebracht. In dieser Position wurden die Retentionskappen über ein selbsthärtendes fluoreszierendes kaltpolymerisierendes Paste-Kartuschensystem (VOCO Structur 2 SC/QM, Voco GmbH, Cuxhaven) fixiert. Anschließend wurde der Interimszahnersatz extraoral versäubert und in der Mundhöhle refixiert (Abb. 29 und 30). Der Verschluss der Schraubenkanäle wurde mit einem in 0,1 % CHX-Gel getränkten Schaumstoffpellet und einem lichthärtenden röntgenopaken Composite“ (DENTSPLY DETREY GmbH, Konstanz, Germany, E-Mail: info@dentsply.de) verschlossen. Abschließend erfolgte die radiologische Kontrolluntersuchung (Abb. 31).
Schlussfolgerung zur Sofortversorgung
Nach der 11. koordinierten Bevölkerungsvorausberechnung wird die Zahl der 65-Jährigen und Älteren bis Ende der 2030er Jahre um etwa die Hälfte ansteigen.¹⁰ Damit wächst auch die Patientenklientel für implantatgestützte Versorgungen. ¹¹, ¹² „Allerdings handelt es sich um eine Patientenklientel, die zunehmend kritischer, Preis-Leistungsorientierter und gleichzeitig anspruchsvoller wird, nicht […] jeden Therapievorschlag unreflektiert akzeptiert und sich […] weitere Meinungen und Angebote einholt“. ¹³ Hat sich der Patient zu einer implantologischen Behandlung nach ausgiebiger Information entschlossen, werden der Anspruch und die Erwartung recht präzise formuliert: ein festsitzender und funktioneller Zahnersatz, eine zügige Behandlung mit überschaubaren Kosten und wenigen belastenden Eingriffen bei vollständiger permanenter Gesellschaftsfähigkeit. Nach der Konsensuskonferenz Implantologie im Jahre 2011 sind in der Klasse III der Indikationsklassen für Implantatversorgung zur Regelversorgung, für die Verankerung eines festsitzenden Zahnersatzes im zahnlosen Unterkiefer sechs Implantate und für die Verankerung eines herausnehmbaren Zahnersatzes vier Implantate vorgesehen.¹⁴ Zudem haben in dieser Patientenklientel gerade im Unterkieferseitenzahnbereich bereits erhebliche Knochenresorptionen bis zu den Abbaustadien der Cawood-Klassen¹⁵ IV bis VI stattgefunden, die dann aufwendiger Augmentationen bedürfen.¹⁶, ¹⁷, ¹⁸, ¹⁹ Für augmentative Verfahren ist diese Patientenklientel selten zugängig, Somit muss ein patientenfreundlicheres Verfahren zum Einsatz kommen.
„Das Konzept der anguliert gesetzten [distalen] Implantate und anschließender funktionellen Sofortversorgung“²⁰ ist ein Verfahren, das seine klinische Anwendbarkeit und Praxistauglichkeit bereits seit 6 Jahren basierend auf verschiedenen Implantatsystemen gezeigt hat. Die heute möglichen digitalen Arbeitsabläufe vom DVT über die 3D-Planungssoftware, den knochengetragenen Übertragungsschablonen und ihren in diesem Zusammenhang möglichen zahntechnischen Leistungen bieten den Patienten mit nur einem präoperativen Behandlungstermin – nämlich der DVT-Aufnahme – und dem operativen Behandlungstermin die vollständige Rehabilitation. Die Vorteile dieses digitalen Workflows liegen darin, dass limitierende anatomische Strukturen erkannt werden können und damit Läsionen reduziert werden. Zudem kann das gesamte verbleibende Knochenvolumen bestimmt werden, wodurch es möglich wird, die für die spätere prothetische Rekonstruktion vorteilhafteste und günstigste Implantatposition dreidimensional zu finden. Es verkürzt sich die Operationsinvasivität und -zeit in der Hand des geübten Operateurs sowie der Zeitaufwand für die prothetische Versorgung deutlich.
Die resultierenden Vorteile sind vielfältig. Ein operatives Vorgehen in einem einzigen Arbeitsgang ohne zweiten operativen Eingriff ggfs. in Allgemeinanästhesie ist möglich. Daraus ergibt sich durch die digitale Planung eine gute Vorhersagbarkeit der Ergebnisse. Eine festsitzende sofortbelastete Suprakonstruktion am Operationstag mit reduzierter Implantatanzahl unter Vermeidung ausgedehnter augmentativer Maßnahmen ist durchführbar. Folglich ist eine vollständige Gesellschaftsfähigkeit ab der ersten Minute postoperativ gegeben. Insgesamt zeigt sich eine hohe Wirtschaftlichkeit bei guter Voraussagbarkeit.
1. http://www.dgzmk.de/uploads/media/DMS_IV_Zusammenfassung_201002.pdf
2. http://www.brigitte.de/gesund/zaehne/angst-vorm-zahnarzt-1052514
3. P. Malo, B. Rangert, M. Nobre: „All-on-Four“ immediate-function concept with Branemark System implants for completely edentulous mandiles:
a retrospective clinical study. In: Clinical Implant Dentistry and Related Research 2003; 5 Suppl 1 : 2 – 9.
4. B. Rangert, L. Sennerby, N. Meredith, J. Brunski: Design, maintenance and biomechanical considerations in implant placement. In: Dental Update 1997; 24 : 416-420.
5. F. Petschelt, M. Millian, T. Kraußeneck: Untersuchungen zur Genauigkeit von Implantatschablonen. In: Zahnärztliche Implantologie 2013; 29 (1)
6. M. Karl, B. Bauernschmidt: Passive fit – eine Prämisse für Implantatbrücken. In: Teamwork 2007; 3(10): S. 326-333.
7. M. Balsamo: Kompositkunststoff für die Herstellung eines Modells. In : ZWP 2011; 11; S. 80-83
8. K. Yamada, H. Hoshina, T. Arashiyama, M. Arasawa, Y. Arai, K. Uoshima, M. Tanaka, S. Nomura: Immediate implant loading following computerguided surgery.
In: Journal of Prosthodontic Research. 2011 Oct; 55 (4) : 262-5. doi: 10.1016/j.jpor.2010.11.002. Epub 2011 Feb 5.
9. http://www.awmf.org/uploads/tx_szleitlinien/007-003l_S2k_Weisheitszahnentfernung_01-2013.pdf.
10. „Bevölkerung Deutschlands bis 2050 – 11. koordinierte Bevölkerungsvorausberechnung“, Statistisches Bundesamt, Wiesbaden 2006
11. B.T. Grant, R.A. Kraut: Dental implants in geriatric patients: a retrospective study of 47 cases. In: Implant Dentistry 2007; 16 : 362 – 368.
12. http://www.dgzmk.de/uploads/media/DMS_IV_Zusammenfassung_201002.pdf
13. G. Bayer, F. Kistler, S. Kistler, S. Adler, J. Neugebauer: Sofortversorgung mit reduzierter Implantatanzahl. Quintessenz Verlags-GmbH, Berlin. 03/2011
14. www.konsensuskonferenz-implantologie.de
15. J.L. Cawood, R.A. Howell: A classification of the edentulous jaws. International Journal of Oral Maxillofacial Surgery 1988;17:232-236.
16. P. Felice, L. Piana, L. Checchi, R. Pistilli, G. Pellegrino: Vertical ridge augmentation of the atrophic posterior mandible with a 2-stage inlay technique:
a case report. In: Implant Dentistry. 2012 Jun; 21 (3) : 190-5.
17. N.-C. Gellrich, K. Bormann, S. Meckfessel: Die autogene Knochenaugmentation im Allgemeinen und im Besonderen. In: Quintessenz 2012; 63 (6) : 751 – 760.
18. R. Fangmann: Knochenaugmentation im Unterkieferseitenzahnbereich mit der Nut-Feder-Technik. In: ZWP Spezial 10/12.
19. R. Fangmann: Präimplantologische Augmentation der posterioren Mandibula mit Nut-Feder-Technik – Ein Fallbericht. In: Implantologie 2012; 20 (3) : 337 – 344.
20. G. Bayer, F. Kistler, S. Kistler, S. Adler, J. Neugebauer: Sofortversorgung mit reduzierter Implantatanzahl. Quintessenz Verlags-GmbH, Berlin. 03/2011































