Prothetische Versorgung mit CAD/CAM-Technologie
Dr. Dr. Rainer Fangmann, M.Sc., Dr. Jürgen Süllwold, ZTM Fabian Zinser
Veröffentlicht 03/2013 im Digital Dental Magazin unter dem Titel
"Die prothetische Versorgung des zahnlosen Unterkiefers mit CAD/CAM - Technologie"
Einleitung zur CAD/CAM-Technologie
Der Wunsch der Patienten nach einer perfekten, naturidentischen prothetischen Restauration mit guter Adaptation an das Restgebiss sowie nach langfristiger Stabilität und Biokompatibilität kann durch den Einsatz enossaler Implantate und deren Suprakonstruktion weitgehend verwirklicht werden. Moderne CAD/CAM – Technologie hilft dabei, dem Team aus implantatchirurgischen und implantatprothetischen Behandlern und Zahntechnikern, gemeinsam ein optimales Ergebnis zu erzielen. Mit dem Einsatz dieser digitalen Techniken im Team aus Zahnmedizin und Zahntechnik ergeben sich Möglichkeiten, Behandlungsabläufe neu zu strukturieren und zu organisieren. Die Folge ist, dass Behandlungsschritte verkürzt und die Zahl der Patientensitzungen reduziert werden bei gleichbleibenden oder sogar besseren Behandlungsergebnissen. Die ideale Voraussetzung für einen optimalen Zahnersatz ist ein perfektes Gerüst, spannungsfrei und ohne Gussfehler. Das ist speziell im Bereich der Implantatprothetik sehr wichtig, da Implantate starr und nicht wie die eigenen Zähne selbstregulierend sind. Ein Garant für spannungsfreie Ergebnisse sind CAD/CAM-gefräste Arbeiten. ¹, ²
Allgemeine und dentale Anamnese
Bei dem nachfolgenden Fall handelt es sich um eine 74-jährige Patientin, die nicht raucht sowie im guten Allgemein- und Ernährungszustand ist. Sie steht in keiner medikamentösen Behandlung und hat keine Allergien. Erstmals kam die Patientin 2006 in die Behandlung der Autoren. Damals zeigte diese eine insuffiziente Teleskoparbeit im Oberkiefer, wobei die Pfeilerzähne einen deutlichen Lockerungsgrad aufwiesen. 2006 wurde der Oberkiefer mit acht Ankylos® Plus Implantaten (Dentsply Implants, Mannheim) und einer Sofortversorgung bei gleichzeitig durchgeführtem Sinuslift rehabilitiert. Acht Monate später erfolgte die endgültige prothetische Versorgung in Form einer festen Verblendkeramikauf NEM-Gerüst unter Verwendung von Titan-Abutments. Seit dieser Behandlung ist die Patientin in einem regelmäßigen Prophylaxe-Programm eingebunden und zeigt eine sehr gute Mundhygiene. Die seinerzeit belassene Unterkieferprothetik war mittlerweile insuffizient. Es konnten im Unterkiefer keine Zähne erhalten werden. Seitens der Patientin bestand der Wunsch nach hochwertiger Rehabilitation des Unterkiefers möglichst mit einer Sofortversorgung. Eine zwischenzeitliche Versorgung mit einer gingivagetragenen Interimsprothese schied aus. Darüber hinaus war für die Patientin wichtig, eine möglichst geringe Belastung durch die anstehende Behandlung zu erfahren. Es fiel die Wahl auf die prothetische Lösung mit anguliert gesetzten Ankylos® C/X-Implantaten nach dem SmartFix-Konzept (Dentsply Implants, Mannheim), ein implantatprothetisches Verfahren zur Sofortversorgung von zahnlosen Patienten mit verschraubten Brücken im Unterkiefer. Die Patientin wurde mit einem computerdesignten Langzeitprovisorium über 4 Monate versorgt (Abb. 1).
Implantatprothetisches Procedere
Nach erneuter Überprüfung der implantatprothetischen Sofortversorgung auf sämtliche okklusalen und gelenkspezifischen Parameter erfolgte die Abformung im Ober- und Unterkiefer. Für den Unterkiefer wurde ein individueller Löffel erstellt. Danach konnte die Abformung auf Abutmentniveau erfolgen. Die Balance-Basis Aufbauten waren intraoperativ bereits zum Zeitpunkt der Interimsversorgung definitiv eingesetzt. Zur präzisen Übertragung der Mundsituation auf das Modell ist entweder eine zweite Abformung mit einem entsprechenden Kontrollschlüsssel erforderlich oder eine direkte, intraorale Verblockung der Abformpfosten. Bei der ersten Variante dient als Kontrollschlüssel ein aus Autopolymerisat ³ laborgefertigter Steg. Zum Ausgleich von Spannungen, die während der Polymerisation entstehen, wird dieser Steg in vier Teile getrennt. Die Einzelteile werden intraoral auf den Balance Basisaufbauten verschraubt und mit möglichst geringer Menge an Autopolymerisat wieder miteinander verblockt. Der Vorteil dieser Variante liegt in der geringen Stuhlzeit durch die laborgefertigten, individuellen Abformpfosten.
Die zweite Variante verzichtet auf eine erneute Abformung durch eine direkte Verblockung der Abformpfosten in der ersten Sitzung. Hierfür wird Zahnseide ohne Spannung mehrfach über Kreuz um die Abformpfosten gebunden. Das hieraus entstehende Gerüst dient als Trägerplattform für das Autopolymerisat. Das zeitversetzte Applizieren des Autopolymerisates gewährleistet die Spannungsfreiheit der Verblockung. Die Abformung erfolgte mit einem Polyether Abformmaterial in Doppelmischtechnik ⁴. Ebenfalls fertigte der Behandler in dieser Sitzung ein Zentrikregistrat sowie Laterotrusionsregistrate an. Das Meistermodell wurde aus Klasse–IV-Superhartgips mit typischer Gingivamaske hergestellt (Abb. 2). Durch das Vorgehen mit einer verblockten Präzisionsabformung lässt sich die höchste Genauigkeit bei weitspannigen Suprastrukturen erreichen. Diese Weitspannigkeit, bedingt durch das nach distal ausgedehnte prothetische Polygon, ist das Prinzip des SmartFix-Konzeptes. Nach der Modellherstellung erfolgte die anatomisch korrekte Übertragung der Schädel-Achs-Relation des Oberkiefers in den Artikulator ⁵ mittels Gesichtsbogen. Zur Montage des Unterkiefers konnte in diesem Fall auf eine klassische Bissnahme verzichtet werden, da das computerdesignte und okklusal verschraubte Langzeitprovisorium während der Einheilphase vom Behandler feinjustiert wurde und die Bisshöhe und -lage damit zur Übertragung perfekt geeignet war. Hierfür wurde vom Behandler das Provisorium entnommen, so dass der Zahntechniker in der Praxis die Einartikulierung unter Zuhilfenahme des vorher angefertigten Zentrikregistrates vornehmen konnte. Darüber hinaus wurde das Provisorium
mit einem Silikonwall auf dem Meistermodell dubliert. Die Individualisierung der Artikulatorenwerte erfolgte mit den Laterotrusionsregistraten
im Labor.
Der gesamte Workflow dieses Patientenfalles beruht auf dem Prinzip des Backward Planning. Sowohl bei der Chirurgie als auch bei der Prothetik ist dem Team aus implantatchirurgischen und implantatprothetischen Behandler und Zahntechniker daran gelegen, vorhersagbare Ergebnisse zu garantieren. Bei einer okklusal verschraubten Brücke ist es für den Zahntechniker vor Beginn der Arbeit wichtig, den späteren Austrittspunkt der Schraubenkanäle zu kennen und eine diagnostische Aufstellung in Form und Funktion anzufertigen. Nur so wird gewährleistet, dass das CAD/CAM gefertigte Gerüst optimal die Verblendungen unterstützt und die Schraubenkanäle ideale Durchtrittspunkte bekommen. Nach der Anfertigung der Aufstellung im Labor wurde der Patientenfall im ATLANTIS WebOrder Portal von Dentsply Implants angelegt und das Meistermodell mit der diagnostischen Aufstellung an die ATLANTIS ISUS Produktion nach Belgien geschickt. Die Durchführung und Digitalisierung des Meistermodells und die Erarbeitung eines Designvorschlages für das anatomisch reduzierte Brückengerüst erfolgte unter Verwendung einer speziellen CAD–Software. Obwohl der Designprozess in diesem Schritt zumindest nicht direkt in den Händen des Zahntechnikers liegt, bedeutet es aus Sicht der Autoren nicht den Verlust von Kompetenz oder Designfreiheit. Auch hier gilt: Bevor eine Arbeit in die zentrale Fertigung geht, benötigt sie die Freigabe durch den Zahntechniker. Das ATLANTIS ISUS Team geht auf die Änderungswünsche des Zahntechnikers ein und unterbreitet weitere Designvorschläge, bis ein Vorschlag perfekt ist und akzeptiert wird. Die auf den zehntel Millimeter genau festzulegende Reduktion des Gerüstes (Abb. 3) richtet sich nach der Indikation der Verblendung.
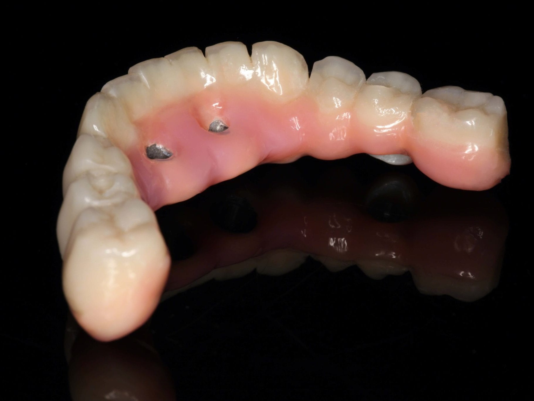
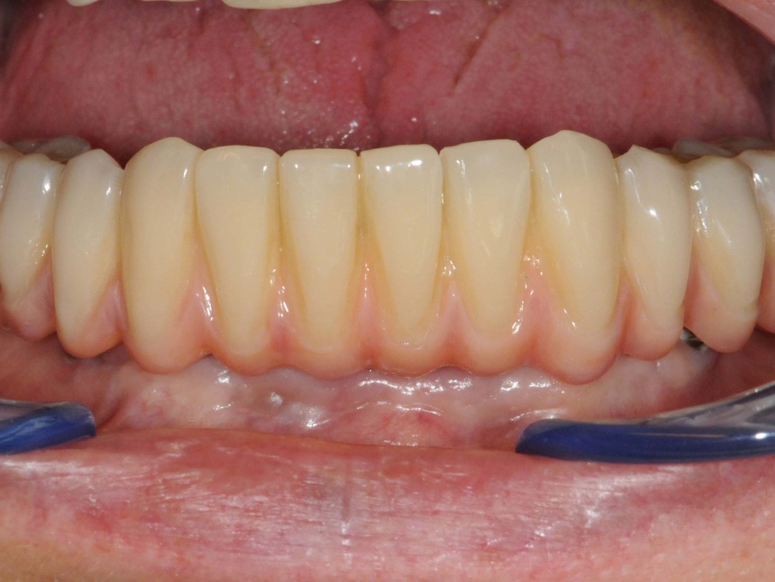
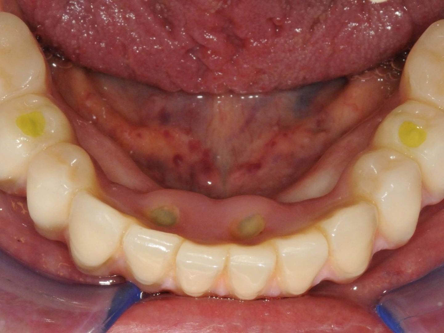
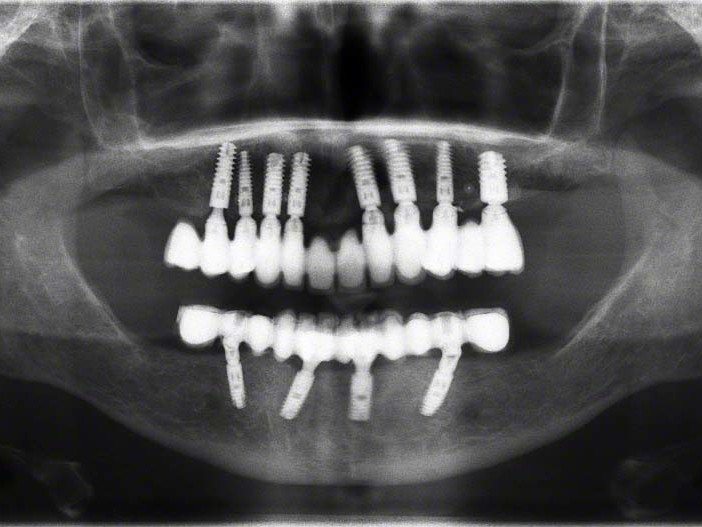
Wie weiter oben bereits beschrieben ist die Patientin im Oberkiefer mit einer keramisch verblendeten implantatgetragenen Brücke versorgt. Aus Sicht des Behandlungsteams schied daher eine keramische Verblendung des Unterkiefers aus. Die Verwendung von einem Composite mit keramischer Füllstruktur gewährleistet neben der notwendigen Farbstabilität und Plaqueresistenz zwei weitere Vorteile. Auf der einen Seite entsteht im Okklusionsmoment nicht das „keramische Klacken“ und zum anderen werden die auftretenden Kaukräfte gleichmäßiger auf das Implantat und den Knochen verteilt . Gerade bei implantologischen Oberkiefer- und Unterkieferversorgungen ist dieser „Stoßdämpfer–Effekt“ für den Langzeiterfolg wichtig. In dem vorliegenden Fall wurde die okklusal verschraubte Brücke aus einem massiven Titanblock gefräst (Abb. 4 und 5), wodurch das Endprodukt frei von aus der Gusstechnik bekannten Lunkern oder Verzügen ist. In Übereinstimmung mit den als Sheffield-Test ⁷ bekannten Kriterien der University of Sheffield, GB. ermöglicht dieser Fertigungsprozess gepaart mit der verblockten Abdrucknahme einen präzisen und somit spannungsfreien Sitz der Brücke – sowohl auf dem Meistermodell als auch im Munde des Patienten. Sowohl die Verblendungen der Zähne als auch des Zahnfleisches wurden unter Zuhilfenahme der diagnostischen Aufstellung mit visio.lign ⁸ im Labor angefertigt. Hierbei wurde besonderer Wert auf die naturgetreue Nachbildung der Rot-Weiß-Ästhetik und eine gute Hygienefähigkeit gelegt. Die Vorteile dieses Verblendsystems liegen in der exakten Umsetzung von der Aufstellung hin zur fertigen Arbeit durch mehrschichtige Verblendschalen (Abb. 6). Diese Verblendschalen werden schon bei der diagnostischen Aufstellung individualisiert und nach der Gerüstfertigstellung weiterverarbeitet. Mit passenden Individualisierungs- und Ergänzungsmassen sowie einem farblich abgestimmten Verbundsystem mit sehr guter Druck-Scheer-Festigkeit ⁹ ermöglicht dieses System durch Hinterlegen mit Intensivfarben das Gestalten von Mamelons ebenso wie die individuelle Gestaltung von Dentinleisten. (Abb. 7 und 8). Nach der zahntechnischen Erstellung der Unterkieferbrücke wurde diese intraoral inkorporiert (Abb. 9a). Die Implantatschrauben wurden mit 25 Ncm angezogen. Ein wichtiger Hinweis ist, dass hier stets das Originalequipment des Herstellers oder ein elektronisch kalibrierter Schraubendreher seine Anwendung finden sollte. Die Schraubenkamine wurden initial mit einem bakteriendichten, formstabilen lichthärtenden temporären Füllungsmaterial ¹⁰ verschlossen (Abb. 9b). Nach 6 Wochen werden die Implantatschrauben seitens des Prothetikers nochmals kontrolliert und ein abschließendes OPG erstellt (Abb. 10).
Zusammenfassung zum Thema CAD/CAM-Technologie
Das Zusammenspiel der CAD/CAM-Komponenten in Chirurgie und Prothetik eröffnet dem Praktiker viele neue Möglichkeiten der Planung und Versorgung seiner Patienten, wie es im Beitrag des digital dental magazins No. 2, 2013 und im prothetischen Folgebeitrag dieser Ausgabe gezeigt werden konnte. Die mittels CAD/CAM-Technik gefrästen Steg- und Brückenversorgungen sind bei sorgfältiger Durchführung aller Behandlungsschritte stets spannungsfrei. Das ist der entscheidende Unterschied zur Gusstechnik. Das Material (Titan, NEM oder Zirkon) stammt aus einem Block und ist homogen.¹¹ Infolgedessen zeigen sich keine Lunker oder Gussfehler. Ein weiterer Vorteil ist sicherlich, dass bis auf die Schrauben und Implantate keine weiteren Teile benötigt werden. Das Kleben und Angießen entfällt. Hochtechnisierte und rechnergestützte Fertigungsprozesse erlauben dadurch eine kosteneffektive Herstellung individueller, prothetischer Restaurationen. Diese bieten gegenüber der konventionellen Fertigung zahlreiche Vorteile, wie exakte Reproduzierbarkeit, effiziente Ausnutzung von Rohmaterial (Verschnittminimierung), kurze Fertigungszeiten, effiziente Auslastung durch parallel ausgeführte Arbeitsschritte, einheitlicher Arbeitsablauf für eine Vielfalt an Formen und Materialien, geringere Fertigungskosten.¹² Auch bei idealer Voraussetzung ist die Zufriedenheit des Patienten noch nicht garantiert, denn das ästhetische Ergebnis einer Arbeit hängt noch immer vom Können und Geschick des Zahntechnikers ab. Darüber hinaus ist neben einem eingespielten Team aus Chirurg, Prothetiker und Zahntechniker jeder beteiligte Mitarbeiter auf dem Weg zur fertigen Arbeit für den Erfolg verantwortlich. In diesem Sinn möchten die Autoren sich herzlich bei Ihren Teams für die hervorragende Zusammenarbeit bedanken.
1. J. Schweiger, F. Beuer: Die Zukunft
ist digital – neue Materialien, neue
Techniken. In: Zahntechnik Magazin
16, 1/2, 6–13 (2012).
2. B. Roland, P. Gehrke: Damit alles
perfekt passt. CAD/CAM-Unterkiefer-
Stegversorgung auf XIVEImplantaten.
In: Identity 2, 28-32
(2010).
3. GC Pattern Resin LS, GC GERMANY
GmbH, Seifgrundstr.2,
D – 61348 Bad Homburg
4. Impregum™ Penta™ Soft und Soft
Quick Polyether Abformmaterial,
3M Deutschland GmbH, Carl-
Schurz-Str.1, 41453 Neuss
5. Artex®System, Amann Girrbach
GmbH, Herrschaftswiesen 1, 6842
Koblach, Austria
6. R. Tiossi et al.: Digital image correlation
analysis on the influence of
crown material in implantsupported
prostheses on bone strain distribution.
In: Journal of Prosthodontic
Research Jan 2012; 5 6(1): 25-31. doi:
10.1016/j.jpor.2011.05.003.
7. G. E. White: The Sheffield fitting
test. In: Osseointegrated Dental
Technology 1993:61. Quintessence
Publishing Co Ltd, London
8. visio.lign System, Bredent GmbH &
Co.KG, Weissenhorner Str. 2, 89250
Senden
9. Dr. R. Göbel: Untersuchungen zum
Legierungs – combo.lign – ZrO2 –
combo.lign – Kunststoff –combo.
lign – Verbund, Universitätsklinikum
Jena, April 2011
10. IVOCLAR VIVADENT Fermit, Ivoclar
Vivadent GmbH, Dr. Adolf-Schneider-
Str. 2, D-73479 Ellwangen
11. T. Strobl: Optimales Ergebnis mit der
CAD/CAM-Technologie. Zahntechnik
Magazin 16, 9, 507–509 (2012).
12. M. Gaspar, F. Weichert, R. Daniel:
Die CAM-Herstellung prothetischer
Restaurationen. Dentales Feinwerk
– Teil 1. Zahntechnik Magazin 16, 9,
493–500 (2012).











