Pro Arch Konzept im atrophen Unterkiefer
Dr. Dr. Rainer Fangmann, M.Sc., ZTM Fabian Zinser
Veröffentlicht 03/2015 im Digital Dental Magazin unter dem Titel
"Pro Arch Konzept im atrophen Unterkiefer"
Einleitung – Das Pro Arch Konzept
Gerade in der Implantologie mit seiner Vielzahl an Implantatsystemen und auch den verschiedenen Techniken steht das behandelnde Team vor der großen Herausforderung, für den jeweiligen Patienten das optimale Behandlungskonzept auszuwählen und dann mit Erfolg umzusetzen. Eines der innovativsten Verfahren in der Implantatrehabilitation, das in den letzten Jahren entwickelt wurden, ist das Sofortbelastungskonzept nach Paulo Maló. „Diese festsitzende Versorgung im zahnlosen Kiefer auf einer reduzierten Anzahl von Implantaten, besonders bei der Therapie von nicht mehr erhaltungsfähigen parodontal geschädigten Zähnen in Kombination mit der Sofortimplantation, hat sich zu einer bewährten Therapieoption entwickelt. Je nach Ausmaß des vertikalen Knochenverlust und der noch vorhandenen Restbezahnung lassen sich die Implantate in Kombination mit lokalen augmentativen Maßnahmen bei der Extraktion der nicht erhaltungswürdigen Zähne inserieren und bei ausreichender Primärstabilität auch mit einem Provisorium funktionell sofort versorgen“¹. Für dieses Konzept, das von Malo entwickelt wurde, werden heute von fast allen führenden Implantatherstellern die entsprechenden Systemkomponenten für eine angulierte Implantatpositionierung und Versorgung angeboten. Bei der Firma Straumann findet sich dieses Konzept unter dem Namen Pro Arch wieder.
Hierbei finden vor allem Implantate mit einem Standarddurchmesser zwischen 3,75 und 4,5 mm ihre Verwendung. Das „Thema der „durchmesserreduzierten Implantate“ (Narrow diameter implants [NDI]) ist in den wissenschaftlichen Fokus gerückt. Hierunter werden alle Implantate mit einem Durchmesser unter 3,5 mm zusammengefasst. Zweiteilige Implantate mit einem Durchmesser zwischen 3,3 und 3,5 mm sind in der Literatur auch mit Langzeitdaten gut dokumentiert (…). Eine Literaturübersicht beschrieb 16 Studien zu dieser Gruppe bezüglich des Implantatüberlebens“²,³. Der Vergleich der NDI mit Standardimplantaten in fünf Studien zeigte eine Überlebensrate zwischen 89 und 100% bei einem mittleren Follow-up von 4,1 Jahren. Eine Meta-Analyse der Überlebensdaten zeigte keinen signifikanten Unterschied im Implantatüberleben zwischen Implantaten mit einem Durchmesser zwischen 3,3 und 3,5 mm und Implantaten mit Standarddurchmesser. Bei Implantat- durchmesserreduktion unter Verwendung herkömmlicher Titanlegierungen besteht ein erhöhtes Risiko für Implantatfrakturen, da die mechanische Belastbarkeit dieser Verbindungen limitiert ist und Ermüdungsbrüche möglich sind. Eine Alternative stellt eine Legierung, wie z. B. Titan-Zirkonium-Legierung, genannt Roxolid, dar, die über eine höhere Zugfestigkeit und eine geringere Materialermüdung gegenüber konventionellen Titanverbindungen verfügt ⁴. Zudem ist im Rahmen der Pro Arch Implantatsofortversorgung eine Anwendung von einteiligen Implantaten bei achsengerader Insertion wünschenswert, da dieses die Fehlerquote durch Bauteilreduzierung minimiert und die Wirtschaftlichkeit für den Patienten verbessert. Sollte bei dem Behandlungskonzept nach Malo die Forderung nach durchmesserreduzierten Implantaten und parallel die Anwendung von einteiligen Implantaten in achsengerader Insertionsposition aufgrund des geringen Knochenangebots gestellt werden müssen, beschränkt sich die Implantatauswahl am Implantatmarkt erheblich.
Patientenwunsch
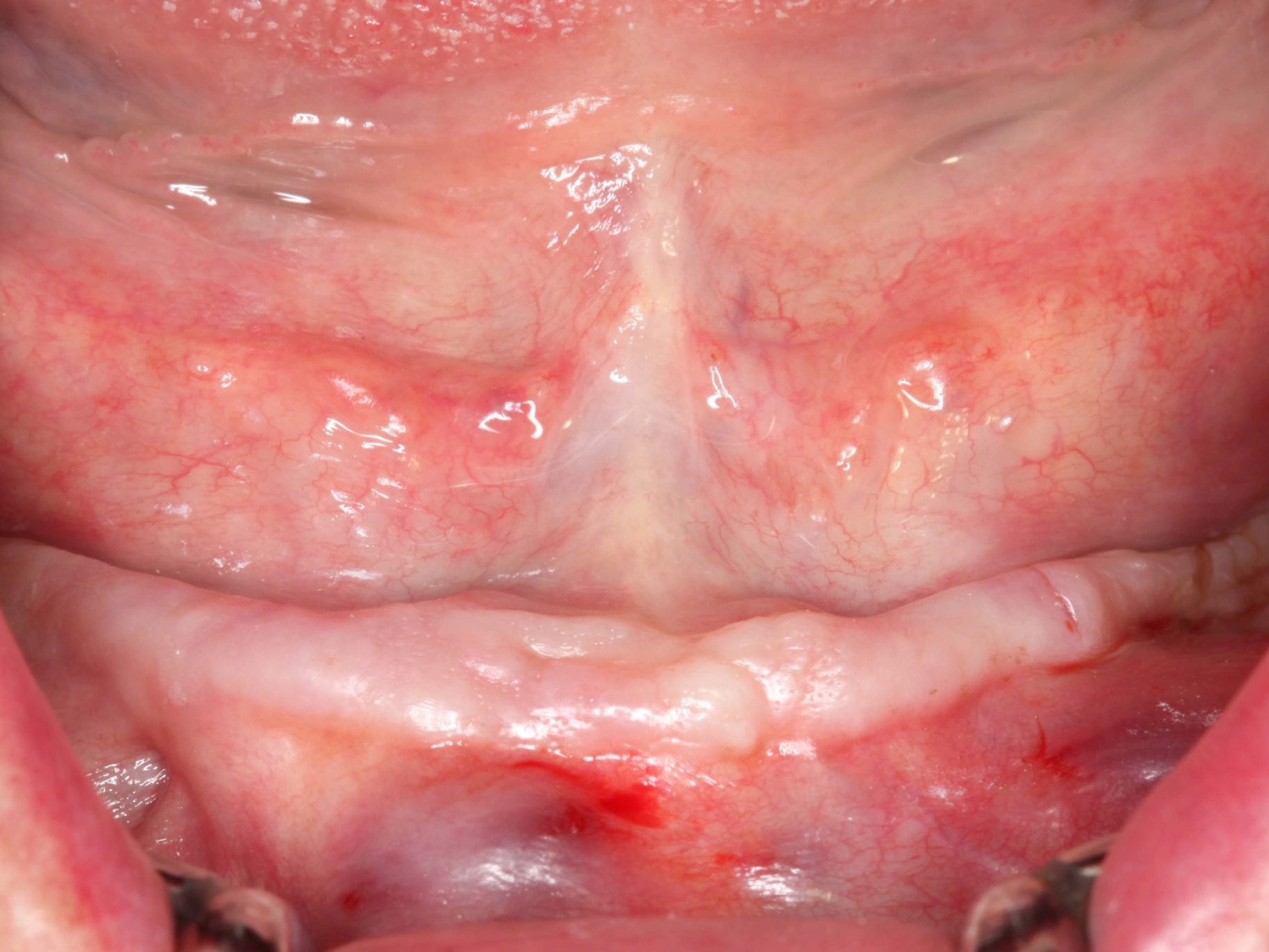
Das Beispiel zeigt eine 76-jährige Patientin, die seit Jahren einen herausnehmbaren Zahnersatz akzeptieren musste (Abb. 1-4), obwohl ihr Wunsch nach festsitzendem und damit jugendlich anmutendem Zahnersatz bestand. Oft wird der Seniorengruppe herausnehmbaren Zahnersatz mit dem Argument besserer Reinigungsfähigkeit empfohlen, obwohl Interesse und Akzeptanz an zahnärztlicher Vorsorge und Prophylaxe gestiegen sind. Laut DMS VI gehen 72,2% der Senioren regelmäßig zur zahnärztlichen Kontrolluntersuchung. Der Patientenwunsch war, eine Sofortversorgung mit langfristig festsitzendem Zahnersatz zu erhalten. Die Sofortversorgung war der Patientin wichtig, um sich möglichst schnell von der „wackelnden“ Unterkieferprothese zu verabschieden. Es wurde das Pro Arch Konzept im digitalen Workflow favorisiert.
Planungs-, Kommunikationsphase und zahntechnische Herstellung
Das Ziel dieses Workflows ist es, dem Patienten eine sofortige Rehabilitation zu garantieren und dabei die prothetische Ausgangssituation in die provisorische Versorgung in punkto Ästhetik, Funktion und Phonetik zu übertragen. Hierfür erfolgte im zahntechnischen Labor die Digitalisierung der notwendigen Arbeitsunterlagen, bestehend aus den optischen Scans des röntgenopaken Unterkieferprothesenduplikats und der Schleimhautsituation. Zwischenzeitlich erfolgte die Übermittlung der DVT gestützten Implantatplanung aus der coDiagnostiX Software. Den reibungslosen und sicheren internetbasierten Datenversand gewährleistet hierbei die caseXchange Plattform. Über diese Plattform wird es den Teammitgliedern bestehend aus MKG-Chirurg, Zahnarzt und Zahntechniker ermöglicht, eine effiziente Kommunikationsstruktur aufzubauen und dies unabhängig davon, ob die Software bei jedem Partner vorhanden ist.
In dem vorgestellten Fall besitzen sowohl der MKG-Chirurg als auch das Dentallabor die coDiagnostiX Software. Der überweisende Zahnarzt kann über die kostenfreie coDiagnostiX App alle Planungsschritte mitverfolgen und ist so zu jedem Zeitpunkt optimal eingebunden. Die aus MKG-chirurgischer Sichtweise geplanten Implantatpositionen verifizierte der Zahntechniker im Dentallabor unter prothetischen Gesichtspunkten (Abb. 5). Zur besseren Visualisierung legte der Zahntechniker die zuvor erstellen digitalen Scans über das DVT. Die hochauflösenden Scans sind frei von Artefakten und geben dem Behandlungsteam somit detailliertere Informationen als das reine DVT. Der optische Scan der Bariumsulfatschiene auf dem Schleimhautmodell dient hierbei lediglich als Referenzierungspunkt für den Matchvorgang. Die beste Arbeitshilfe stellte der Scan der Schleimhautsituation dar. Mit diesem Scan wurde dem Zahntechniker die Auswahl der definitiven Abutments mit den richtigen Gingivahöhen enorm erleichtert. An den Positionen 32 und 42 wurde aus der coDiagnotiX Software die realistische Visualisierung zweier NNC Variobase-Klebeabutments geladen. Die distalen Implantatpositionen 35 und 45 wurden mit 30° verschraubten Sekundärteilen aus dem Pro Arch Konzept bedacht (Abb. 6, 7). Hierbei legte das Behandlungsteam besonderes Augenmerk auf eine prothetische Endsituation, die sowohl einer Steg- als auch Brückenversorgung gerecht wird. Nach Finalisierung der prothetischen wie chirurgischen Planung erfolgte das Design der Bohrschablone in der coDiagnostiX Software. Dem Anwender wird softwareseitig ein hohes Maß an Freiheit gegeben. Neben den verschiedenen Schablonenarten, die rein schleimhaut-, knochen- oder zahngetragen sind, besteht auch die Möglichkeit der Kombination als zahn-knochengetragene oder schleimhaut-knochengetragene Schablone. Darüber hinaus besteht eine Vielzahl an Hülsensystemen. Die Ausgabe der designten Bohrschablone und der prothetischen Planung erfolgte mittels Clickfee im standardisierten STL-Format. Die so gewonnenen Datensätze wurden zum einen in einer CAM-Software mit Supportstrukturen versehen und so für den stereolithographischen 3D-Druck vorbereitet und zum anderen in eine weitere CAD-Software geladen, mit der die provisorische Versorgung erstellt wurde.
Die coDiagnostiX Software ermöglicht seinen Anwendern die Ausgabe aller optischen Scans, der Implantatpositionen und der Abutments. Diese Informationen sind für viele implantologische Sofortversorgungskonzepte ausreichend. Im vorgestellten Fall wurden diese Daten jedoch um individuell erstellte Pro Arch Platzhalter ergänzt. Diese Pro Arch Platzhalter designte das zahntechnischen Labor in einer speziellen CAD-Software und simulierte so neben den realistischen Pro Arch Abutments auch deren provisorische Aufbauten. Darüber hinaus wurden sie mit einem Spacer versehen, der intraoperative Abweichungen der Implantatpositionen bis zu einem gewissen Grad toleriert. Der bereits in der Planungssoftware gematchte optische Scan der Bariumsulfatschiene gab dem Zahntechniker bei der Erstellung der provisorischen Versorgung die Ästhetik und Funktion vor. Die Implantatpositionen stammten aus der coDiagnostiX Planung und wurden um die eigens erstellten Pro Arch Platzhalter erweitert. Somit stellte der Zahntechniker sicher, dass alle relevanten Daten Beachtung fanden und ein vollkommen digitaler Workflow ohne Modelloperationen eingehalten werden konnte. Besonderes Augenmerk musste hierbei auf ausreichend dicke Wandstärken im Bereich der Pro Arch Platzhalter gerichtet werden, ohne dabei den Zungenraum zu sehr einzuschränken. Hierfür wurde ein spezieller flexibler PMMA-Kunststoff der Firma Zirkonzahn verwendet. Nach Fertigstellung des CAD-Designs erfolgte die Fertigung des digitalen Provisoriums auf einer Fünf-Achs-Simultan-Fräsmaschine. Anschließend wurden die vestibulären Gingivaanteile mit Nanocomposite verblendet.
Zahn- und implantatchirurgische Behandlung
In Lokalanästhesie unter anästhesiologischem Standby mit intravenöser Antibiose mittels Clindamycin 600 mg 2mal/d wurde die Bohrschablone eingesetzt und mit Osteosyntheseschrauben fixiert (Abb. 8). Der Eingriff erfolgte nahezu flapless und somit transgingival. Nun erfolgte die Umsetzung des Straumann Hülse-in-Hülse-Konzeptes. Der Zylinder des Bohrlöffels wird in die an der Bohrschablone fixierten Hülse (Ø 5 mm) in den geplanten Regionen eingeführt. Für jeden Bohrerdurchmesser (Ø 2,2 mm und Ø 2,8 mm) ist ein entsprechender Bohrlöffel erhältlich. Jeder Bohrlöffel besitzt an seinen Enden Zylinder unterschiedlicher Höhe, die entsprechend chirurgischem Protokoll angewendet werden. Es wurden sämtliche Bohrstollen protokollgemäß aufbereitet (Abb. 9-11). Nach der Aufbereitung der Bohrstollen für die angulierten Implantate (Abb. 12-14) wurden die Straumann Bone Level Tapered Implantate (ø 3,3 mm) in regio 035 (Länge 10 mm) und 045 (Länge 12) gesetzt (Abb. 15). Abschließend wurden sämtliche Endpositionen der Implantate in regio 035 und 045 anhand der Lasermarkierungen am Übertragungsteil betreffend ihrer orovestibulären Ausrichtung exakt überprüft (Abb. 16). Nach Entfernung der Einbringhilfen und der Osteosyntheseschrauben konnte die Bohrschablone wieder entnommen werden. In regio 032 und 042 wurden nun die durchmesserreduzierten Straumann NNC (ø 3,3 mm Länge 12 mm) Implantate inseriert (Abb. 17, 18). Bei diesen Implantaten bedurfte es keiner Ausrichtung bezogen auf die orofasziale Ausrichtung. Hier musste die Insertionstiefe bezogen auf das NNC-Implantat beachtet werden (Abb. 19). Die NNC-Implantate wurden mit den entsprechenden Klebebasen versehen (Abb. 20). Danach wurden in regio 035 und 045 auf die Pro Arch Sekundärteile die dazugehörigen Retentionskappen (Abb. 21), die zur Vergrößerung der Oberfläche mit 120 μ Aluminiumoxyd abgestrahlt wurden, eingesetzt. Es erfolgte der typische Naht-Wund-Verschluss mit Einzelknopfnähten. Zum Abschluss erfolgte das prothetische Procedere mit der Eingliederung des Interimszahnersatzes in Okklusion (Abb. 22). Hierfür wurden die Retentionskappen und die Klebebasen mit dem Sofortprovisorium über ein selbsthärtendes fluoreszierendes kaltpolymerisierendes Paste-Paste-Kartuschensystem fixiert, dieser Zahnersatz extraoral versäubert (Abb. 23) und in der Mundhöhle refixiert (Abb. 24). Die Schraubenkanäle wurden mit Kunststoff verschlossen (Abb. 25). Abschließend erfolgte die radiologische Kontrolluntersuchung (Abb. 26).
Zusammenfassung zum Straumann Pro Arch Konzept
Bei der Wahl aus dem am Markt angebotenen Implantatsystemen wurde das Straumann-System favorisiert aufgrund seiner Nachhaltigkeit⁵. Im Vergleich zu den Implantaten von Straumann waren die „Odds Ratios“ eines frühen Implantatverlustes bei anderen Implantaten rund zweifach erhöht. Das Quotenverhältnis für einen späten Implantatverlust der Straumann Implantate war nur ein Fünftel so groß wie die anderer Hersteller. Unter den Implantatanbietern, die Bauteile gemäß Maló zur Verfügung stellen, ist das Straumann Pro Arch Konzept eines der wenigen, die die Kombination aus durchmesserreduzierten Implantaten und einteiligen Implantaten, wie im Beispielfall oben dargestellt, für diese Versorgung anbietet. Mit den durchmesserreduzierten Implantaten lassen sich Augmentationen vermeiden. Mit den einteiligen Implantaten in der achsengerechten Positionen lassen sich die Fehlerquote reduzieren sowie die Wirtschaftlichkeit für den Patienten erhöhen und zudem die provisorische Versorgung in der orovestibulären Ausdehnung reduzieren. Dieses reduziert die Einengung des Zungesraumes signifikant. Provisorische Versorgungen und die damit einhergehende sofortige Rehabilitation des Patienten nehmen in der heutigen Zeit einen immer größeren Stellenwert ein. Vielfach wird der nachvollziehbare Wunsch von Patientenseite geäußert, während der Einheilungsphase nicht auf eine herausnehmbare Versorgung angewiesen zu sein. Um dieses Ziel zu erreichen, müssen mund-, kiefer- und gesichtschirurgischer und/oder prothetischer Implantologe und Zahntechniker als Team patientenindividuelle Lösungsansätze erarbeiten. Dies kann eine provisorisch verschraubte Brückenversorgung, wie in diesem Fall gezeigt, sein. Aus Autorensicht ist neben einer reibungslosen Kommunikation auch eine offene Feedbackkultur für den gemeinsamen Erfolg unerlässlich. Das „Feedback hat in der Regel eine positive Konnotation. […] Dies braucht man als Impuls zur eigenen (Weiter)-Entwicklung“ , gerade in einer Zeit der Digitalisierung der Zahnmedizin und insbesondere der Zahntechnik.
1. Neugebauer J, Adler S, Kistler F, Kistler S, Bayer G.: Klinische Erfahrung mit unterschiedlichen prothetischen Werkstoffen bei zirkulären festsitzenden Brückenversorgungen auf angulierten Implantaten. Z Zahnärztl Implantol 2015;31:140-‐149.
2. Klein M, Schiegnitz E, Al-‐Nawas B.: 5th ITI Consensus Conference 2013: Systematic review on success of narrow diameter dental implants. Int J Oral Maxillofac Implants; in print.
3. Schiegnitz E, Al-‐Nawas B.: Durchmesserreduzierte Implantate -‐ Eine Übersicht. Implantologie 2013;21(3):251–256
4. Gottlow J, Dard M, Kjellson F, Obrecht M, Sennerby L.: Evaluation of a new titanium-‐zirconium dental implant: A biomechanical and histological comparative study in the mini pig. Clin Implant Dent Relat Res 2012;14:538- ‐545.
5. Derks J., Håkansson J., Wennström J.L., Tomasi C., Larsson M., Berglundh T.: Effectiveness of Implant Therapy Analyzed in a Swedish Population: Early and lateImplant Loss. J Dent Res. 2014 Dec 11


























