Keramikimplantatversorgung mit Straumann PURE Ceramic

Dr. med. Dr. med. dent. Rainer Fangmann, M.Sc., ZTM Fabian Zinser
Veröffentlicht 03/2015 in der Digital Dentistry unter dem Titel
"Keramikimplantat in ästhetischer Zone mit provisorischer Versorgung"

Gerade in der Implantologie mit seiner Vielzahl an Implantatsystemen und auch den verschiedenen Techniken der Knochenaugmentation steht das behandelnde Team vor der großen Herausforderung, für den jeweiligen Patienten das optimale Behandlungskonzept auszuwählen und dann mit Erfolg umzusetzen.

Das Straumann PURE Ceramic Implantat stellt eine metallfreie Alternative in der ästhetischen Frontzahnregion dar, insbesondere bei Patienten, die einen dünnen gingivalen Biotyp aufweisen. Das hochleistungsfähige Zirkondioxid (Y-TZP) mit seiner ZLA™-Oberflächentopografie entspricht, bezogen auf seine Osseointegrationseigenschaft, der gleichen Vorhersagbarkeit der etablierten Straumann-SLA-Oberfläche.¹,² Ein großer Vorteil betrifft das elfenbeinfarbene Material der Implantate, das „ästhetisch anspruchsvolle prothetische Versorgungen auch bei parodontal schwierigen Verhältnissen unterstützt.³ – ⁷ Selbst ein optimales Ergebnis mit Titanimplantaten kann ein optimales Ergebnis im Laufe der Zeit durch Retraktion der periimplantären Weichgewebe kompromittieren, wenn die grauen Oberflächen der metallischen Stützpfeiler zum Vorschein kommen.“⁸ Graue Grundfarben können selbst dann ästhetische Probleme bereiten, wenn Implantatanteile vollständig vom Weichgewebe bedeckt sind. Der elfenbeinfarbige Grundton des Zirkondioxids ist vorteilhaft, vor allem bei dünnen Weichgewebsschichten.⁹,¹⁰ Zudem wird auf Zirkondioxidoberflächen ähnlich viel oder weniger Plaque wie auf natürlichen Zähnen gefunden.¹¹ In Kontrollstudien konnte gezeigt werden, dass sich im Vergleich zu Titan auf Zirkondi oxidoberflächen weniger parodontal relevante Bakterien aufhalten. ¹² Im Weiteren wurde nachgewiesen, dass es in periimplantären Geweben um Strukturen aus Titan häufiger als um Zirkondioxidelementen zu entzündlichen Reaktionen kommt.¹³

Die Straumann Bone Level Roxolid Implantatlinie mit seinem Consistent Emergence Profiles™ ermöglicht eine optimierte, intelligente Weichgewebekonditionierung insbesondere in Kombination mit den vollkeramischen Straumann CARES-Produkten. Zudem gewährleistet das Bone Control Design™ eine optimierte krestale Knochenerhaltung. Dieses erfährt eine Unterstützung durch die ideale Berücksichtigung des Übergangs von glatter und rauer Oberfläche. Das biomechanische Implantatdesign mit seiner SLActive-Oberflächentechnologie¹⁴ ermöglicht die Kombination mit vorfabrizierten Knochenringen CHB aus prozessiertem allogenen Spenderknochen. Der Knochenring wird gleichzeitig mit dem Implantat inseriert. Die knöcherne Integration des Knochenringes und des Implantates erfolgt über den umliegenden vitalen Knochen. Der Knochenring CHB ermöglicht dabei sowohl den horizontalen als auch den vertikalen Knochenaufbau und vereinfacht die chirurgische Versorgung dreidimensionaler Knochendefekte. Mit der Knochenring-Technik ist es möglich, Knochenaugmentation und Implantation in einem Eingriff durchzuführen. Diese Technik ist heute für fast alle Indikationen anwendbar, auch beim Sinuslift mit geringster maxillärer Knochenhöhe. Im Vergleich zur klassischen, zweiphasigen Augmentation mit Knochenblöcken wird mit dieser Technik die gesamte Behandlungszeit um mehrere Monate verkürzt, das Reentry entfällt.

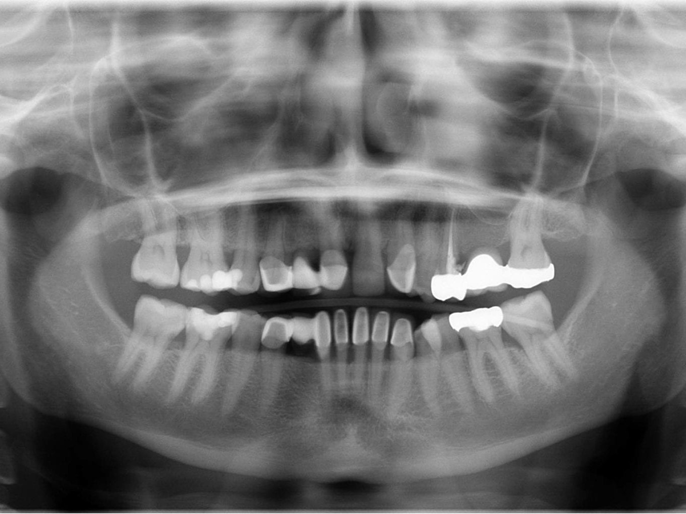
Abb 1 Präoperatives Orthopantomogramm

Abb. 1: Präoperatives Orthopantomogramm

Abb 2 Klinische Ausgangssituation mit Farbwahl

Abb. 2: Klinische Ausgangssituation mit Farbwahl

Patientenwunsch

Die Patientin war seit Jahren mit einer Brückenversorgung gut rehabilitiert. In der Frontzahnregion sollte die frakturierte Zirkonbrücke erneuert werden (Abb. 1 und 2). In der Molarenregion war die Entfernung des Zahnes 25 in Erwägung gezogen worden, um eine erneute Brückenversorgung durchzuführen. Dieses war aber nur mit der Präparation eines weiteren gesunden Zahnes zu erzielen. Eine Implantatversorgung wurde der Patientin nicht offeriert. Die Neuversorgung des Oberkiefers mit einer weiteren Hinzuziehung von gesunden Nachbarzähnen im Sinne einer konventionellen zahnärztlichen Lösung sah die Patientin als nicht mehr zeitgemäß an. So stellte sich die Patientin in unserer Praxis vor.

Planungsphase

Nach der Erstellung eines DVTs folgte die Konvertierung und Segmentierung der DICOM-Datensätze mithilfe der coDiagnostiX™-Software (Dental Wings GmbH, Deutschland). In diesem Zuge erfolgte die Planung der drei Implantate. In Regio 12 erfolgte die Planung eines Straumann PURE Ceramic Implantat (Ø 3,3 mm, Länge 12 mm). In Regio 25 wurde ein Straumann Bone Level Roxolid Implantat (Ø 4,1 mm, Länge 12 mm) als Sofortimplantation geplant. In Regio 26 wurde ein Straumann Bone Level Roxolid Implantat (Ø 4,1 mm, Länge 8mm) vorgesehen, das über einen CHB-Knochenring zur Augmentation des vestibulären Knochendefizits inseriert werden sollte. Nach der erstellten Planung wurde der Datensatz aus der coDiagnostiX™-Software direkt über das Modul caseXchange an das zahntechnische Referenzlabor übersandt. Parallel erfolgte eine konventionelle Alginat-Abformung des Oberkiefers. Mithilfe des Optical Scan Moduls wurde dieses konventionelle Situationsmodell der Ausgangssituation digitalisiert, in den Planungsdatensatz eingelesen und die Implantatpositionen unter zahntechnischen Gesichtspunkten verifiziert. Vorteilhaft an der frühzeitigen Einbeziehung des Zahntechnikers ist zu erwähnen, dass die Kombination aus implantatchirurgischer und implantatprothetischer Sichtweise dem Patienten ein ideales Endergebnis garantiert. Darüber hinaus werden sowohl der Mund-, Kiefer- und Gesichtschirurg als auch der Zahntechniker für die wechselseitigen Probleme und Herausforderungen des anderen sensibilisiert. Als Folge entwickelt sich eine echte Zusammenarbeit auf Augenhöhe, die implantologische Behandlungen wesentlich effizienter und vorhersagbarer macht. Nach erneutem Upload auf die CaseXchange Plattform erfolgte die Freigabe durch den Mund-, Kiefer- und Gesichtschirurgen, dem chirurgischen Implantologen. Danach konnte das zahntechnische Referenzlabor mit der Fertigung der Bohrschablone beginnen. Hierzu wurde ein weiterer optischer Scan des nun radierten Situationsmodells angefertigt. Dieser dient als Grundlage für das finale Design der Bohrschablone (Abb. 3). Die Software garantiert hierbei dem Anwender ein hohes Maß an Designfreiheit, Feinabstimmung und Detailarbeit. Neben rein zahn-, knochen oder schleimhautgetragenen Schablonen können auch Kombinationen, wie zahn-knochengetragene Schablonen, erstellt werden. In coDiagnostiX kann der Benutzer nun die fertig erstellte Bohrschablone gegen eine Gebühr als offenen STL-Datensatz exportierten und auf dem von ihm bevorzugten Wege herstellen. Die Herstellung kann inhouse oder extern erfolgen. Als Herstellungstechnik kann das 3-D-Drucken oder Fräsen angewandt werden. In dem hier gezeigten Fall wurde die Bohrschablone im 3-D-Druckverfahren inhouse gefertigt.

Abb 3 Digital konstruierte Bohrschablone

Abb. 3: Digital konstruierte Bohrschablone

Digitales Provisorium – Straumann PURE Ceramic

Neben dem reinen Exportieren des STL-Datensatzes der Bohrschablone ermöglicht es die Software dem Anwender darüber hinaus, auch alle relevanten Daten für eine provisorische Versorgung des Patienten zu generieren. Somit wird der Zahntechniker befähigt, die Modellsituation inklusive Scanmarker und/oder Platzhaltern auszugeben. Die Wahl zwischen Scanmarker oder Platzhalter richtet sich stets nach dem verwendeten Implantatsystem sowie der zugrunde liegenden Indikation. Bei einteiligen Vollkeramikimplantaten entfällt der Export mittels Scanmarker. Um sicherzustellen, dass das präfabrizierte Provisorium die belastungsfreie Einheilung des Straumann PURE Ceramic Implantates gewährleistet, erfolgte der Export der Implantatposition mittels Platzhalter. Dieser kann in der Software frei erstellt werden. In der Standardkonfiguration entspricht der Platzhalter den Geometrien des jeweiligen Implantates exakt. Für die provisorische Versorgung von Keramikimplantaten empfiehlt es sich, bereits in diesem Arbeitsschritt den Platzhalter in Höhe und Durchmesser so zu modifizieren, dass das Provisorium über ausreichend Abstand verfügt. Die so gewonnenen Datensätze der radierten Modellsituation und des Platzhalters wurden in eine weitere CAD-Software geladen und um die ursprüngliche Modellsituation ergänzt (Abb. 4). Im Anamnesegespräch zeigte sich die Patientin mit der Ästhetik ihrer alten Versorgung weitestgehend zufrieden, sodass diese als Ausgangslage für das Design des Provisoriums verwendet werden konnte. Nachdem das Design der dreigliedrigen provisorischen Versorgung am Computer erstellt war, erfolgte die Fertigung des Provisoriums aus PMMA¹⁵ auf einer fünfachsigen Fräsmaschine (Abb. 5).

Abb 4 radierte und ursprünglichen Modellsituation virtuell überlagert

Abb. 4: Radierte und ursprünglichen Modellsituation virtuell überlagert

Abb 5 PMMA-Provisorium von vestibulär und basal

Abb. 5: PMMA-Provisorium von vestibulär und basal

Zahn- und implantatchirurgische Behandlung mit Straumann PURE

Unter oraler Antibiose mittels Clindamycin 600mg 2 x/Tag erfolgte zunächst die typische minimalinvasive Präparation des Mukoperiostlappens unter Erhalt der Papillen zu den Nachbarzähnen in Regio 12 (Abb. 6), nachdem die Brücke von Zahn 11 nach 14 entfernt wurde (Abb. 7). Wegen Nichtanlage von 13 steht der Zahn 14 in dessen Region. Seinerzeit wurde der Zahn 14 zur Aufnahme einer entsprechenden Eckzahnkrone umgestaltet. Die Implantatbettpräparation (Abb. 8 und 9) für das Straumann PURE Ceramic Implantat (Ø 3,3 mm, Länge 12mm) erfolgte gemäß dem Straumann Guided Surgery Protokoll. Die abschließende Implantatinsertion wurde dem Protokoll für die Straumann PURE Ceramic Implantatlinie gemäß durchgeführt (Abb. 10 und 11). In der Implantatsetzungsregion des zweiten Quadranten wurde zunächst die Inlay-Brücke von Zahn 25 nach 27 entfernt. Seitens des zahntechnischen Labors wurde das Zahninlay von Zahn 27 von der Brücke getrennt und wieder inkorporiert. Nach der Extraktion des tief zerstörten Zahnes 25 erfolgte die typische Mukoperiostlappenpräparation. Nach Darstellung des Insertionssitus kam die massive vestibuläre Knochendefizitsituation in Regio 26 zur Darstellung (Abb. 12). Zunächst wurde die Präparation der Implantatstollen in Regio 25 und 26 gemäß dem Straumann Guided Surgery-Protokoll durchgeführt. In Regio 25 wurde ein Straumann Bone Level Roxolid Implantat (Ø 4,1 mm, Länge 12mm) als Sofortimplantation eingesetzt (Abb. 13 und 14). In Regio 26 wurde ein Knochenring CHB¹⁶ zur Augmentation des vestibulären Knochendefizits entsprechend des ossären Knochenabhanges angeschrägt und in der Höhe eingekürzt (Abb. 15). Die Anpassung des homologen Ringes erfolgt unter Fixierung mit der bonering fix-Zange und Anwendung einer 10-mm-Diamanttrennscheibe (Abb. 16).

Der Knochenring wurde entsprechend dem Bohrprotokoll für das 4,1-mm-Implantat extrakorporal mit dem passenden Einmalbohrer aufbereitet. Danach wurde das Straumann Bone Level Roxolid-Implantat (Ø 4,1 mm, Länge 8 mm) extrakorporal maschinell in den homologen Knochenring, der mit der bonering fix-Zange gehalten wurde, eingebracht (Abb. 17). Anschließend wurde das Implantat samt Knochenring in die Implantatbettregion der Mundhöhle verbracht und entsprechend subkrestal maschinell versenkt (Abb. 18). Nach Entfernung der Loxim-Einbringhilfe wurden beide Implantate mit Verschlussschrauben versehen. Der Resorptionsschutz erfolgte mittels synthetischem biphasischen Kalziumphosphat¹⁷ eine Abdeckung des Augmentats (Abb. 19). Zusätzlich fand eine Membran aus porcinem Perikard ihre Anwendung.¹⁸ Abschließend erfolgte der typische spannungsfreie Naht-Wund-Verschluss. In der Frontzahnregion wurde eine präoperativ gefräste PMMA-Kunststoffbrücke eingesetzt (Abb. 20), die im Bereich des Zwischengliedes eine belastungsfreie Einheilung des Straumann PURE Ceramic Implantat gewährleistet. Im Seitenzahnbereich verblieb die Zahnlücke auf Wunsch der Patientin unversorgt, da ein gaumenüberspannender Zahnersatz nicht toleriert wird. Das abschließende Orthopantomogramm zeigt die Implantat- und Augmentationssituation radiologisch (Abb. 21).

Abb 6 Zustand nach Typischer Lappenpräparation

Abb. 6: Zustand nach Typischer Lappenpräparation

Präoperative Situation nach Brückenentfernung

Abb. 7: Präoperative Situation nach Brückenentfernung

Bohrung über Guided Surgery

Abb. 8: Bohrung über Guided Surgery

Abb 9 Überprüfung der Implantatachse nach der Pilotbohrung

Abb. 9: Überprüfung der Implantatachse nach der Pilotbohrung

Abb 10 Einbringen des Straumann® PURE Ceramic Implantat

Abb. 10: Einbringen des Straumann® PURE Ceramic Implantat

Abb 11 Straumann® PURE Ceramic Implantat in situ

Abb. 11: Straumann® PURE Ceramic Implantat in situ

Abb 12 vestibuläre Knochendefizitsituation

Abb. 12: vestibuläre Knochendefizitsituation

Abb 13 Straumann Bone Level Roxolid-Implantat als Sofortimplantation eingesetzt

Abb. 13: Straumann Bone Level Roxolid-Implantat als Sofortimplantation eingesetzt

Abb 14 Straumann Bone Level Roxolid-Implantat 25 in finaler Position

Abb. 14: Straumann Bone Level Roxolid-Implantat 25 in finaler Position

Abb 15 Knochenring entsprechend ossären Knochenabganges angeschrägt und in Höhe eingekürzt

Abb. 15: Knochenring entsprechend ossären Knochenabganges angeschrägt und in Höhe eingekürzt

Abb 16 Extrakorporale Knochenringpräparation

Abb. 16: Extrakorporale Knochenringpräparation

Abb 17 Implantatinsertion regio 026 durch Knochenring

Abb. 17: Implantatinsertion regio 026 durch Knochenring

Abb 18 Implantat 026 subcrestal maschinell versenkt

Abb. 18: Implantat 026 subcrestal maschinell versenkt

Abb 19 synthetisches biphasisches Calciumphosphat zur Abdeckung des Augmentats

Abb. 19: Synthetisches biphasisches Calciumphosphat zur Abdeckung des Augmentats

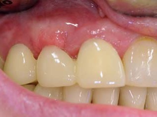
PMMA-Provisorium in situ

Abb. 20: PMMA-Provisorium in situ

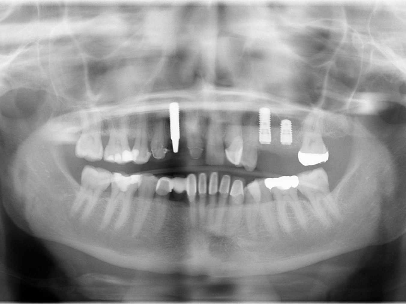
Abb 21 Postoperatives Orthopantomogramm

Abb. 21: Postoperatives Orthopantomogramm

Zusammenfassung zum Straumann PURE Ceramic

Bei der Wahl aus dem am Markt angebotenen Implantatsystemen wurde das Straumann-System favorisiert aufgrund seiner Nachhaltigkeit.¹⁹ Im Vergleich zu den Implantaten von Straumann waren die „Odds Ratios“ eines frühen Implantatverlustes bei anderen Implantaten rund zweifach erhöht. Das Quotenverhältnis für einen späten Implantatverlust der Straumann-Implantate war nur ein Fünftel so groß wie die anderer Hersteller. Bei der Augmentationstechnik fiel die Wahl auf den homologen Knochenring mit einer Überlagerung eines gering resorbierenden Knochenersatzmaterials. Dieses stellte für die Patientin die geringste Belastung betreffend des operativen Eingriffs dar, da im Gegensatz zur Anwendung autologer Materialen die Entnahmeoperation entfiel. Auf die Anwendung eines xenogenen Augmentationsmaterials wurde seitens der Patientin bewusst verzichtet. Provisorische Versorgungen und die damit einhergehende sofortige Rehabilitation des Patienten nehmen in der heutigen Zeit einen immer größeren Stellenwert ein. Vielfach wird der nachvollziehbare Wunsch von Patientenseite geäußert, während der Einheilungsphase nicht auf eine herausnehmbare Versorgung angewiesen zu sein. Das gilt sowohl bei Titan- als auch bei Keramikimplantaten. Können Titanimplantate sofortbelastet werden, so sollte bei Keramikimplantaten eine belastungsfreie Einheilung gewählt werden. Um dieses Ziel zu erreichen, müssen mund-, kiefer- und gesichtschirurgischer und/oder prothetischer Implantologe und Zahntechniker als Team patientenindividuelle Lösungsansätze erarbeiten. Diese können von einer provisorischen Brückenversorgung, wie in diesem Fall gezeigt, bis hin zu einer einflügligen Adhäsivbrücke reichen. Aus Autorensicht ist neben einer reibungslosen Kommunikation auch eine offene Feedbackkultur für den gemeinsamen Erfolg unerlässlich. Dieses „Feedback hat in der Regel eine positive Konnotation. […] (Dieser wird gebraucht) als Impuls zur eigenen (Weiter-)Entwicklung“²⁰, gerade in einer Zeit der Digitalisierung der Zahnmedizin und insbesondere der Zahntechnik. Ein Instrument ist das anspruchsvolle 3-D-Kommunikationstool die coDiagnostiX™ iPad Presenter App. Diese App gewährleitet eine verbesserte Kommunikation innerhalb des Behandlungsnetzes. Es bietet die Möglichkeit, der überweisenden Zahnarztpraxis als auch dem gemeinsamen Patienten anschaulich die Vorteile des Behandlungsplans zu erläutern.

1. Gahlert M et al.: In vivo performance of zirconia and titanium implants: a histomorphometric study in mini pig maxillae. Clin Oral Implants Res. 2012 Mar;23(3):281-6
2. Bormann KH et al.: Biomechanical evaluation of a microstructured zirconia implant by a removal torque comparison with a standard Ti-SLA implant.’ Clin Oral Implants Res. 2012 Oct; 23(10):1210-6 4 Data on file (Blanco)
3. Aydin C, Yilmaz H, Ata S O.: „Single-tooth zirconia implant located in anterior maxilla. A clinical report.,“ N Y State Dent J, Bd. 76, Nr. 1, 30-33, Jan 2010.
4. Borgonovo A E, Corrocher G, Dolci M, Censi R, Vavassori V, Maiorana C: „Clinical evaluation of zirconium dental implants placed in esthetic areas: a case seriesstudy.“ Eur J Esthet Dent, Bd. 8, Nr. 4, 532-545, 2013.
5. Oliva J, Oliva X, Oliva J D: „Zirconia implants and all-ceramic restorations for the esthetic replacement ofthe maxillary central incisors.,“ Eur J Esthet Dent, Bd. 3, Nr. 2, 174-185, 2008
6. Kohal R J, Klaus G: „A zirconia implant-crownsystem: a case report.,“ Int J Periodontics RestorativeDent, Bd. 24, Nr. 2, 147-153, 2004.
7. Schiroli G: „Single-tooth implant restorations in the esthetic zone with PureForm ceramic crowns: 3 case reports.,“ J Oral Implantol, Bd. 30, Nr. 6, 358-363, 2004.
8. Mellinghoff J.: Implantieren mit Zirkonoxid – Aktuelle Entwicklungen, Systeme, Konzepte – Übersicht und Fallbeispiel. Teamwork Special. 1()2015, 6-12.
9. Jung RE, Sailer I, Hammerle CH, Attin T, Schmidlin P.: In vitro color changes of soft tissues caused by restorative materials. Int J Periodontics Restorative Dent 2007; 27:251–257.
10. Schmotzer H, Stübinger S, Velten D.: „Colorimetry on implant surface for esthetically demanding applications,“ in Implants – Materials – Surfaces – Manufacturing, Interlaken, 2013
11. Mellinghoff JF.: Qualität des periimplantären Weichgewebeattachments von Zirkondioxid-Implantaten. ZZI, 2010 (1), 8-17.
12. Wildfang J.: Metallfreie Versorgung? Wunsch oder Wirklichkeit. 22. Kongress der DGI in Frankfurt am Main, 27.-29.11.2008.
13. M. Degidi, L. Artese, A. Scarano, V. Perrotti, P. Gehrke und A. Piattelli: „Inflammatory infiltrate, microvessel density, nitric oxide synthase expression, vascular endothelial growth factor expression, and proliferative activity in peri-implant soft tissues around titanium and zirconium oxide healing caps.,“ J Periodontol, Bd. 77, Nr. 1, pp. 73-80, 2006.
14. Oates TW. et al.: ‘Enhanced implant stability with a chemically modified SLA® surface: a randomized pilot study.’ Int. J. Oral Maxillofac. Implants. 2007;22(5):755–760.
15. Klemet, M.: Die zahntechnische Kompetenz des Zahnarztes reicht in der Regel nicht aus. DZW (23) 2015; 3-4.
16. Spongiosazylinder 7 mm, Höhe 10 mm der FA Botiss Biomaterials GmbH, 15806 Zossen b. Berlin – Deutschland.
17. HA/TCP 60:40 – Straumann® BoneCeramic™ Korngröße: 500-1000 μm der FA Straumann Freiburg – Deutschland.
18. Jason®-Membran, 30 x 40 mm der FA Botiss Biomaterials GmbH, 15806 Zossen b. Berlin – Deutschland.
19. Derks J., Håkansson J., Wennström J.L., Tomasi C., Larsson M., Berglundh T.:
Effectiveness of Implant Therapy Analyzed in a Swedish Population: Early and late Implant Loss. J Dent Res. 2014 Dec 11
20. Aufbau einer Feedback-Kultur – eine Investition in Arbeitsatmosphäre, Motivation und Performance. io-d Institut für Organisationsberatung und Dialog, Hansaallee 18, 60322 Frankfurt am Main. www.io-d.de.

Download

Veröffentlicht wurde der Beitrag bei Oemus.com

Privacy Preference Center