Das Ankylos SmartFix Konzept
Dr. Dr. Rainer Fangmann, M.Sc., ZTM Fabian Zinser, Helena Fangmann
Veröffentlicht 02/2014 im Digital Dental Magazin unter dem Titel
"Chirurgische und prothetische Versorgung des Unterkiefers im Umfeld digitaler Technologie"
Einleitung
Der Wunsch der Patienten nach einer perfekten, naturidentischen prothetischen Restauration mit guter Adaptation an das Restgebiss sowie nach langfristiger Stabilität und Biokompatibilität bestand schon früh in der Implantologie. So entstand in Europa Ende der 1960er Jahre das Konzept des enossalen Blattimplantats, das zum TPS-beschichteten Extensionsimplantat weiterentwickelt wurde. Angepasste, individualisierte Lagerpräparation auch bei schmalem Knochenangebot¹ prägten diese Systeme. Es zeigten sich relativ gute Langzeitdaten, die sich auf Fallberichte bezogen. Kritisch erscheint bei den Extensionsimplantaten eher die Explantationsmorbidität². Aus diesem Grunde wurden bei der Patientin im vorliegenden Fall die vorhandenen osseointegrierten Blattimplantate in situ belassen. In der Altersgruppe der 65- bis 74-jährigen, zu der auch die Patientin im beschriebenen Fall gehört, gibt es auch einen klaren Trend zu festsitzendem Zahnersatz. Dieser Wunsch ist insbesondere auch dann gegeben, wenn im entsprechenden Kiefer bereits eine festsitzende Versorgung existent ist. So ist die Zahl von Implantatversorgungen von 1997 bis 2005 auf mehr als das Dreifache angestiegen³.
Bei fortgeschrittener Unterkieferatrophie besteht insbesondere das Risiko, den Nervus alveolaris inferior und besonders seinen Endast, den Nervus mentalis, zu verletzen. Der Behandlungsweg, seine Einschränkungen und Maßnahmen werden im Wesentlichen von dieser Problematik beeinflusst. Um die Risiken der Behandlung zu minimieren geht man bei Patienten im fortgeschrittenen Alter Kompromisse ein und inseriert die Implantate häufig interforaminal, d.h. mesial der Foramina mentalis. Es war die Arbeitsgruppe um den Zahnarzt Paulo Malo und den Biomechaniker Bob Rangert, die das Konzept der angulierten Implantate zur Versorgung mit festsitzenden Brücken im Unterkiefer klinisch etablierten⁴,⁵. Der Ausgangspunkt dieser Methode ist eine großflächige Abstützung auf einem breiten prothetischen Polygon. Erzielt wird das durch die Angulierung der distalen Implantate. Die Arbeiten von Malo und Rangert demonstrierten eine kumulative Überlebensrate von über 97 Prozent bei einer prothetischen Überlebensrate von 100 Prozent und erbrachten damit den Nachweis, dass vier Implantate einer festsitzenden Brücke im Unterkiefer stabilen Halt geben. Behandlungsabläufe mit multiplen chirurgischen Eingriffen sind für Patienten anstrengend, beschwerlich und bedeuten eine Einschränkung der Lebensqualität. Die Methode von Malo und Rangert konnte durch die Nutzung des vorhandenen Knochenangebots und einer Sofortversorgung den gesamten Behandlungsablauf auf lediglich eine Sitzung reduzieren und folglich die Patientenakzeptanz deutlich erhöhen. Das Konzept der „Sofortversorgung mit reduzierter Implantatanzahl“⁵,⁶, erweitert um den digitalen Workflow wird im folgenden Fall am Beispiel des SmartFix Konzeptes des Ankylos ® C/X-Systems dargestellt.
Allgemeine und dentale Anamnese
Bei dem nachfolgenden Fall handelt es sich um eine 73-jährige Nichtraucherin im guten allgemeinen Gesundheits- und Ernährungszustand. Die Patientin steht in keiner medikamentösen Behandlung und wies keine Allergien auf. Die Patientin kam 2012 zu uns in die Behandlung. Damals zeigte sich bei ihr eine festsitzende aber insuffiziente Rehabilitation im Unterkiefer, wobei die beiden Blattimplantate die gesamte Rekonstruktion trugen. Die Unterkieferzähne, die bisher die anteriore Abstützung bildeten, waren unter der prothetischen Versorgung kariös zerstört (Abb. 1). Seitens der Patientin bestand der Wunsch nach hochwertiger Rehabilitation des Unterkiefers möglichst mit einer Sofortversorgung. Eine zwischenzeitliche Versorgung mit einer schleimhautgetragenen Interimsprothese schied aus. Darüber hinaus war für die Patientin wichtig, eine möglichst geringe Belastung durch die anstehende Behandlung zu erfahren. Der Oberkiefer war mit eine herausnehmbaren Vollprothese rehabilitiert. Zur exakten Vorhersagbarkeit der Implantatpositionen wurde ein DVT angefertigt. Im Anschluss erfolgte eine gemeinsame Planung der chirurgischen sowie prothetischen Implantatposition im Team, bei der Chirurg, Prothetiker und Zahntechniker im ständigen Dialog standen (Abb. 2 und 3).
Digitales Provisorium
Mit dem Digital Immediate Smile Model von Materialise Dental ist es erstmals möglich, die aus der DVT-Planung stammenden Daten als offenen STL-Export zu erhalten. Neben der Information über die Position der Implantate und den dazugehörigen Abutments enthält der STL-Export auch „gematchte“ Optical Scan Modelle (Situationsmodelle) (Abb. 4), die mit vielen CAD-Programmen weiterverarbeitet werden können. Zudem wird dem zahntechnischen Labor ermöglicht, ohne Zeitdruck präoperativ ein Sofortprovisorium zu erstellen. In diesem Fall wurden die STL Daten in eine CAD Software geladen. Die Modellation des Provisoriums erfolgte anhand des Situationsscans (Abb. 5). Die verwendeten Retentionskappen für das Ankylos® C/X Implantatsystem wurden virtuell in der CAD Software hinterlegt und mit einem zusätzlichen Platzhalter versehen. Nach Fertigstellung des Designprozesses wurde das Sofortprovisorium auf einer fünfachsigen Fräsmaschine gefertigt und anschließend poliert (Abb. 6). Ferner wurden die Retentionskappen mit 120μm Aluminiumdioxid zur Retentionsvergrößerung angestrahlt. Das so gefertigte Sofortprovisorium wird nach dem chirurgischen Eingriff in der „Passive-Fit-Technik“⁷ intraoral verklebt, um etwaige Abweichungen der Implantatachse und –tiefe auszugleichen und eine Spannungsfreiheit zu gewährleisten⁸.
Zahn- und implantatchirurgische Behandlung mit dem Ankylos SmartFix Konzept
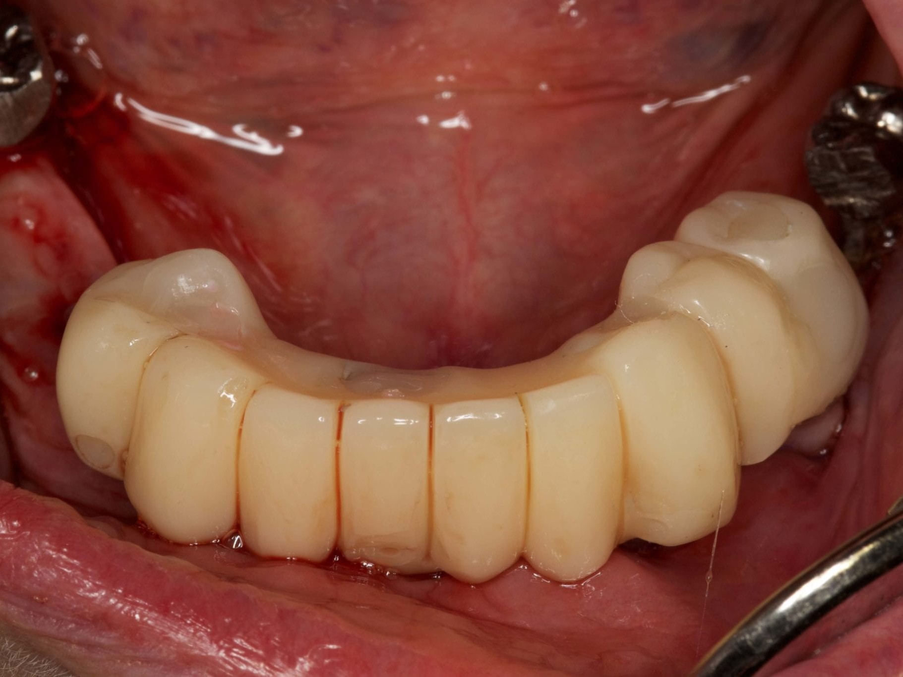
Für die Allgemeinanästhesie erfolgte zunächst die zusätzliche Gabe eines typischen Infiltrationsanästhetikums. Intravenös wurde unmittelbar präoperativ das Antibiotikum Clindamycin 600 mg gegeben. Abbildung 7 zeigt die klinische Ausgangssituation linksseitig. Nach der vorsichtigen Durchtrennung der Brückenkonstruktion (Abb. 8) jeweils vor der Krone auf den Blattimplantaten und Entfernung der nicht erhaltungswürdigen Zähne 44 bis 33 samt ihrer Überkronung (Abb. 9) wurde der Mukoperiostlappen vestibulär wie lingual passend zur erstellten Schablone präpariert und die Bohrschablone in ihrer finalen Lage eingebracht (Abb. 10). Zunächst erfolgte die Insertion der angulierten Implantate Ankylos ® C/X-Implantate (Durchmesser 3,5 mm) der Länge 14 mm in regio 034 (Abb. 11 und 12) und 044. Danach wurden in den Positionen 032 und 042 jeweils ein weiteres Ankylos ® C/X –A-Implantat mit gleicher Länge und Durchmesser inseriert (Abb. 13). Sämtliche entfernten Knochenpartikel und auch Bohrspäne wurden akribisch asserviert. In den Positionen 032 und 042 wurden Ankylos ® Balance Basisaufbauten C/ (GH 3,0 / Ø 5,5 mm, Kopfhöhe 2,4 mm) mit 15 N/cm eingeschraubt. Anschließend hat der Zahntechniker mittels der Ankylos ® Modellierhilfskappenfür den Balance Basisaufbau Retentionskappen hergestellt, die mit 25 N/cm eingebracht wurden (Abb. 14). Am Implantat regio 042 wurde der Knochen in Schalentechnik nach vestibulär aufgebaut (Abb. 15)⁹,¹⁰. Im nächsten Schritt haben wir die angulierten Ankylos ® Balance Basisaufbauten C (nicht indexierte Abutments) in Regio 034 und 044 (GH 3,0, A30 / Ø 4,2 mm, Kopfhöhe 1,3 mm) ausgerichtet und ihren spezifischen Vorgaben entsprechend eingebracht (Abb. 16). Nachdem sich alle erforderlichen prothetischen Implantatbauteile in situ befanden (Abb. 17), erfolgte die Überprüfung und geringfügige Anpassung des im Vorfeld digital erstellten Sofortprovisoriums. Im Anschluss wurden die leeren Alveolen und Knochendefekte mit dem gewonnenen autologen partikulären Material aufgefüllt. Dann erfolgte der typische Naht-Wund-Verschluss mit Einzelknopfnähten eines resorbierbaren Nahtmaterials (Abb. 18). Nachdem die Patientin aus der Vollnarkose erwacht war und ihre motorischen Fähigkeiten wiedererlangt hatte, wurde das Sofortprovisorium eingesetzt und in Okklusion gebracht. In dieser Position wurden die Retentionskappen über ein selbsthärtendes fluoreszierendes kaltpolymerisierendes Paste-Kartuschensystem fixiert. Anschließend erfolgte die extraorale Versäuberung des Interimszahnersatzes. Nach Refixierung des Sofortprovisoriums in der Mundhöhle (Abb. 19 und 20) und dem Verschluss der Schraubenkanäle mit Kunststoff erfolgte die radiologische Kontrolluntersuchung (Abb. 21).
Definitives implantatprothetisches Procedere
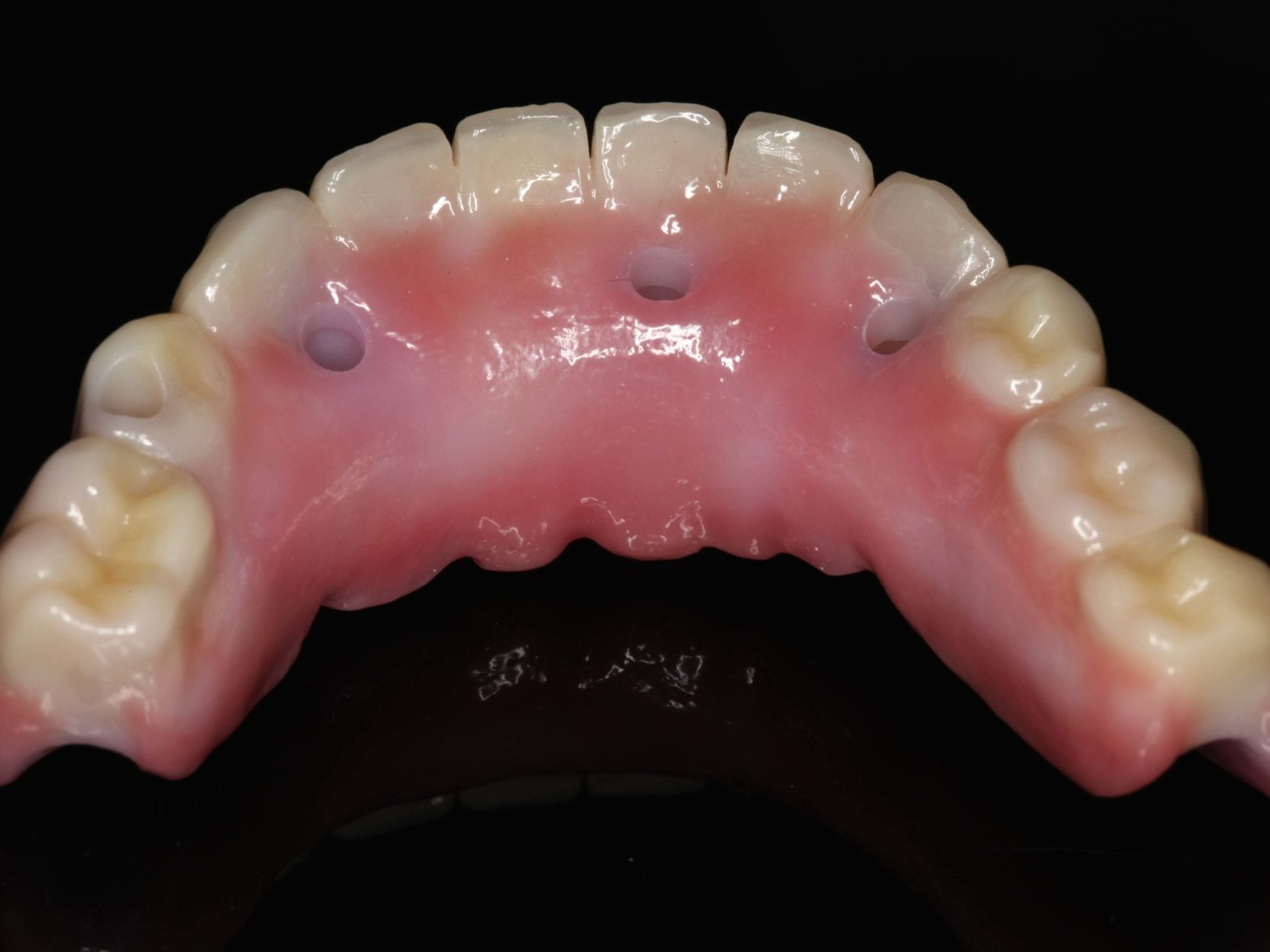
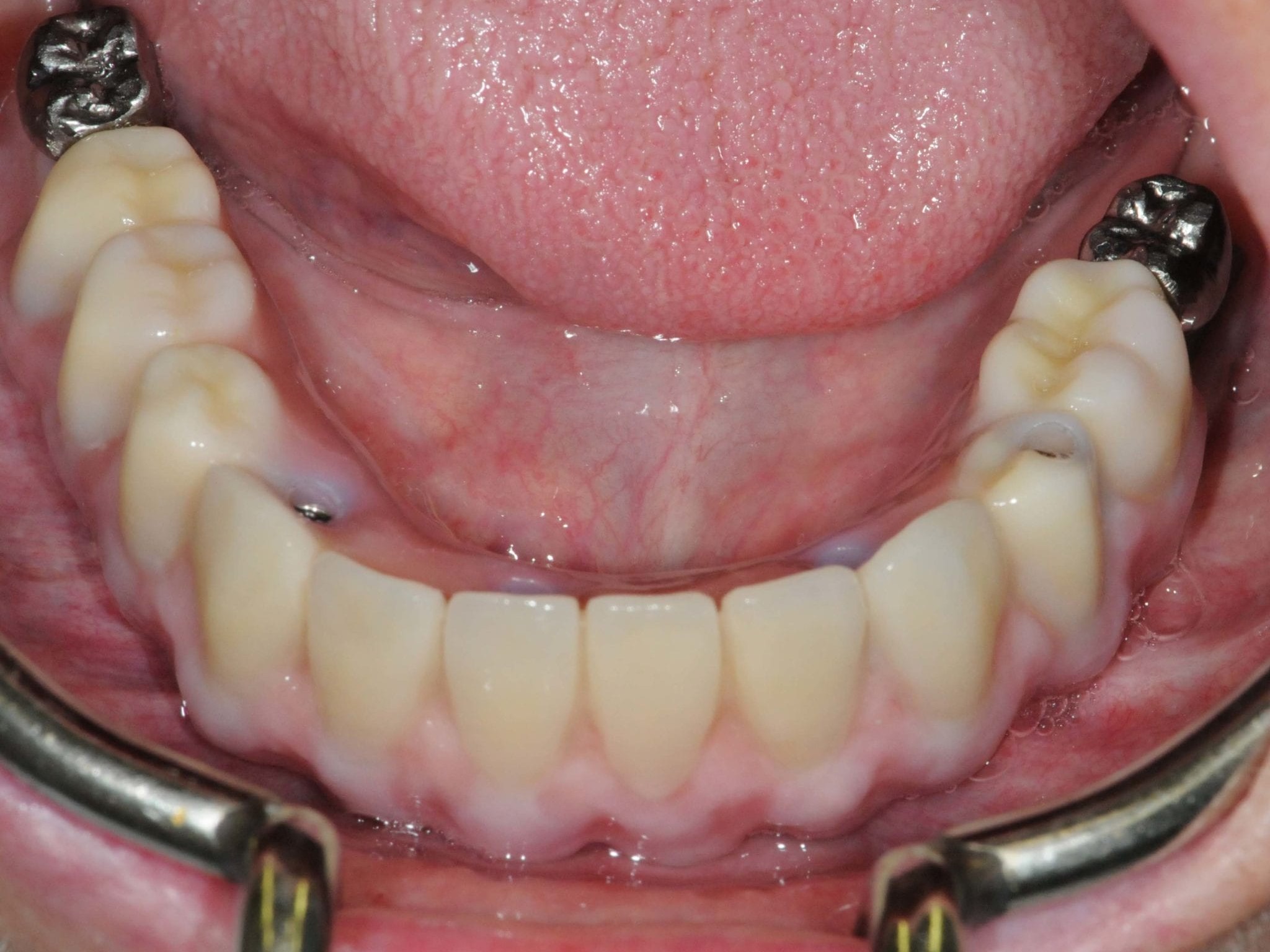
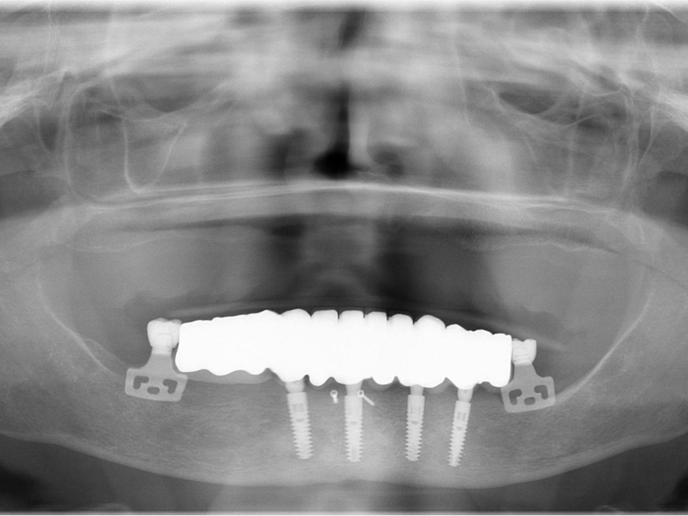
Nach erneuter Überprüfung der implantatprothetischen Sofortversorgung auf sämtliche okklusalen und gelenkspezifischen Parameter erfolgte die Abformung im Ober- und Unterkiefer (Abb. 22). Da die Ankylos Balance-Basis Aufbauten intraoperativ bereits zum Zeitpunkt der Interimsversorgung definitiv eingesetzt wurden, erfolgte die Abformung auf Abutmentniveau mit einem Folienlöffel für präzise Implantatabformung. Um die visuelle Kontrolle über den Abformprozesses zu haben, kam ein transparentes Abformmaterial zur Anwendung. Zur präzisen Übertragung der Mundsituation auf das Modell ist entweder eine zweite Abformung mit einem entsprechenden laborgefertigten Kontrollschlüsssel oder eine direkte intraorale Verblockung der Ankylos Abformpfosten erforderlich¹¹. Bei der letztgenannten Variante werden die direkte Verblockung der Abformpfosten und die präzise Implantatabformung miteinander kombiniert (Abb. 23). Hierfür wird Zahnseide spannungsfrei mehrfach über Kreuz um die Abformpfosten geschlungen. Das hieraus entstehende Gerüst dient als Trägerplattform für das Autopolymerisat, das wir in Pinseltechnik appliziert haben. Um ein zügigeres Arbeiten am Patienten zu gewährleisten, kamen vorgefertigte Stangen (Ø 3 mm) aus rotem Modellierkunststoff zum Einsatz. Dieser Modellierkunststoff zeigt auch bei sehr dünnen Schichtstärken eine minimale Schrumpfung bei hoher Festigkeit sowie Stabilität. Das zeitversetzte Applizieren des Autopolymerisates gewährleistet die Spannungsfreiheit der Verblockung. Das Meistermodell wurde aus Klasse–IV-Superhartgips mit typischer Gingivamaske hergestellt. Bei weitspannigen Suprastrukturen lässt sich die höchste Genauigkeit mit einer verblockten Präzisionsabformung erreichen. Die durch das nach distal ausgedehnte prothetische Polygon bedingte Weitspannigkeit ist das Prinzip des SmartFix-Konzeptes. Nach der Modellherstellung erfolgte die anatomisch korrekte Übertragung der Schädel-Achs-Relation des Oberkiefers in den Artikulator mittels Gesichtsbogen. Zur Montage des Unterkiefers konnte in diesem Fall auf eine klassische Bissnahme verzichtet werden, da das computerdesignte und okklusal verschraubte Langzeitprovisorium während der Einheilphase vom Behandler feinjustiert wurde und somit die Bisshöhe und -lage zur Übertragung perfekt geeignet war. Hierfür wurde das Provisorium entnommen, so dass der Zahntechniker die Artikulation und die damit verbundene Individualisierung der Artikulatorenwerte in der Praxis vornehmen konnte. Im Labor erfolgte die komplette Digitalisierung des Falles. Der gesamte Workflow dieses Patientenfalles beruht auf dem Prinzip des Backward Plannings. Dem Team, bestehend aus einem implantatchirurgischen und einem implantatprothetischen Behandler sowie einem Zahntechniker, ist daran gelegen, sowohl chirurgisch als auch prothetisch vorhersagbare Ergebnisse zu generieren. Bei einer okklusal verschraubten Brücke ist es für den Zahntechniker vor Beginn der Arbeit wichtig, den späteren Austrittspunkt der Schraubenkanäle zu kennen und eine diagnostische Aufstellung in Form und Funktion anzufertigen. Nur so wird gewährleistet, dass das CAD/CAM gefertigte Gerüst die Verblendungen optimal unterstützt und die Schraubenkanäle ideale Durchtrittspunkte bekommen. Durch das im Vorfeld erstellte digitale Sofortprovisorium konnte die ästhetische Ausgangssituation der Patientin sowie die individuellen Okklusionsparameter bis hierhin fehlerfrei übernommen werden. Dieses Sofortprovisorium wurde mittels Alginat in situ abgeformt und nach der Modellherstellung digitalisiert. Zur Steigerung der Präzision wurde darüber hinaus ein klassisches diagnostisches Wax-Up erstellt, das den Verlauf der rot-weißen Ästhetik wiedergab. Diese Datensätze wurden dann mit den Scandaten des Meistermodells in einem CAD Programm gematcht (Abb. 24). Damit standen dem Zahntechniker alle benötigten Informationen zur Erarbeitung eines Designvorschlages für das anatomisch teilreduzierte Brückengerüst aus Zirkondioxid zur Verfügung. Die auf den Zehntelmillimeter genau festzulegende Reduktion des Gerüstes richtet sich nach der Indikation der Verblendung. Wie weiter oben bereits beschrieben, ist die Patientin im Oberkiefer mit einer herausnehmbaren Kunststofftotalprothese versorgt. Aus Sicht des Behandlungsteams war dadurch eine keramische Verblendung des Unterkiefers möglich. Aus Stabilitätsgründen entschied sich das Team für eine Versorgung aus monolithischem Zirkondioxid, das zur Steigerung der Ästhetik von 033 bis 043 vestibulär verblendet wurde (Abb. 25). Die Verwendung von monolithischem Zirkon in Verbindung mit einer keramischen Teilverblendung gewährleistet neben der notwendigen Ästhetik und Stabilität zwei weitere Vorteile. Auf der einen Seite zählt Zirkondioxid in der Zahnheilkunde zu den Materialien mit der höchsten Biokompatibilität und zum anderen werden die auftretenden Kaukräfte gerade in Verbindung mit der Versorgung im Oberkiefer gleichmäßiger auf das Implantat und den Knochen verteilt. Gerade bei implantologischen Oberkiefer- und Unterkieferversorgungen ist dieser „Stoßdämpfer–Effekt“ für den Langzeiterfolg wichtig. Im vorliegenden Fall wurde die okklusal verschraubte Brücke mit einem Sintergerüst versehen und mit einer fünfachsigen Fräsmaschine im Labor aus einem Zirkonblock gefräst. Bevor das Gerüst mit einem speziell entwickelten Langzeitprogramm gesintert wurde, erfolgte die individuelle Einfärbung des Zirkondioxides mit Color Liquids. Die anschließende vestibuläre Verblendung der Zähne und des Zahnfleisches wurde unter Zuhilfenahme der diagnostischen Aufstellung mit Verblendkeramik angefertigt. Hierbei wurde besonderer Wert auf die naturgetreue Nachbildung der Rot-WeißÄsthetik und eine gute Hygienefähigkeit geachtet. Die gefertigte Arbeit wurde mit einem dafür zugelassenen Kleber auf die Ankylos Stegkappen (für Balance Basisaufbau schmal, aus Permador® PDF, Dentsply Implants) verklebt, die zuvor auf dem Meistermodel aufgeschraubt worden waren. In Übereinstimmung mit den als Sheffield-Test¹² bekannten Kriterien der University of Sheffield, GB, ermöglicht dieser Fertigungsprozess in Kombination mit der verblockten Abdrucknahme einen präzisen und somit spannungsfreien Sitz der Brücke – sowohl auf dem Meistermodell als auch im Munde des Patienten (Abb. 26 bis 28). Nach der zahntechnischen Fertigstellung der Unterkieferbrücke wurde diese intraoral inkorporiert (Abb. 29 und 30). Die Ankylos Implantatschrauben wurden mit 25 Ncm angezogen. Wichtig ist, dass stets das Originalequipment des Herstellers oder ein elektronisch kalibrierter Schraubendreher verwendet wird. Die Schraubenkamine wurden mit einem bakteriendichten, formstabilen lichthärtenden Füllungsmaterial verschlossen. Nach 6 Wochen wurde ein abschließendes OPG erstellt (Abb. 31).
Fazit
Nach der Konsensuskonferenz Implantologie im Jahre 2011 sind für die Verankerung eines festsitzenden Zahnersatzes im zahnlosen Unterkiefer (Klasse III der Indikationsklassen für Implantatversorgung zur Regelversorgung) sechs Implantate und für die Verankerung eines herausnehmbaren Zahnersatzes vier Implantate vorgesehen. Ferner haben in dieser Patientenklientel gerade im Unterkieferseitenzahnbereich bereits erhebliche Knochenresorptionen bis zu den Abbaustadien der Cawood-Klassen IV bis VI stattgefunden, die dann aufwendiger Augmentationen bedürfen¹³,¹⁴,¹⁵,¹⁶. Da jedoch diese Patientenklientel für augmentative Verfahren selten zugänglich ist, muss ein patientenfreundlicheres Verfahren zum Einsatz kommen. „Das Konzept der anguliert gesetzten [distalen] Implantate und anschließender funktionellen Sofortversorgung“ ist ein Verfahren, das seine klinische Anwendbarkeit und Praxistauglichkeit basierend auf verschiedenen Implantatsystemen bereits seit sechs Jahren gezeigt hat. Die heute möglichen digitalen Arbeitsabläufe, vom DVT über die 3D-Planungssoftware, den knochengetragenen Übertragungsschablonen und ihren in diesem Zusammenhang möglichen zahntechnischen Leistungen, bieten den Patienten mit nur einem präoperativen Behandlungstermin – nämlich der DVT-Aufnahme – und dem operativen Behandlungstermin die vollständige Rehabilitation. Die Vorteile dieses digitalen Workflows liegen darin, dass limitierende anatomische Strukturen erkannt und Läsionen wie die mögliche Verletzung des Nervus alveolaris inferior und besonders dessen Endast, des Nervus mentalis, reduziert werden können. Zudem kann das gesamte vorhandene Knochenvolumen bestimmt werden, wodurch es möglich wird, die für die spätere prothetische Rekonstruktion vorteilhafteste und günstigste Implantatposition dreidimensional zu bestimmen. Zudem verkürzen sich die Operationszeit, und damit die Invasivität des Eingriffs sowie der Zeitaufwand für die provisorische als auch für die definitive prothetische Versorgung erheblich. Weiterhin besteht allgemeiner Konsens darüber, dass die Länge der Extension einer Freiendbrücke wesentlich die Überlebensrate der Prothese beeinflusst. So sollte die Länge 15 mm nicht überschreiten¹⁷. Außerdem nimmt die Belastung mit der Länge des distalen Freiendes zu, während jedoch keine Korrelation mit der Implantatlänge zu bestehen scheint. Im demonstrierten Fall war die Ausdehnung der Extensionen durch den Erhalt der Blattimplantate limitiert.
1. F.P. Strietzel, H. Krüger, R. Semmler, M.
Hoop: Morphological study of Osteoplate
2000 -extension implants after bending.
In: Implant Dentistry 2000; 9:261.
2. B. Al-Navas, K.A. Grötz, U. Wahlmann,
J. Wegener, F. Mühler, W. Wagner: Rekonstruktion
knöcherner und weichteiliger
Implantatlagerdefekte nach Verlust von
Extensionsimplantaten. Zeitschrift für
Zahnärztliche Implantologie, 2000;16:185.
3. http://www.dgzmk.de/uploads/media/
DMS_IV_Zusammenfassung_201002.pdf
4. P. Malo, B. Rangert, M. Nobre: „All-on-
Four“ immediate-function concept with
Branemark System implants for completely
edentulous mandiles: a retrospective
clinical study. In: Clinical Implant Dentistry
and Related Research 2003; 5 Suppl1:2-9.
5. B. Rangert, L. Sennerby, N. Meredith,
J. Brunski: Design, maintenance and
biomechanical considerations in implant
placement. In: Dental Update 1997;
24:416-420.
6. G. Bayer, F. Kistler, S. Kistler, S. Adler,
J. Neugebauer: Sofortversorgung mit
reduzierter Implantatanzahl. Quintessenz
Verlags-GmbH, Berlin. 03/2011































