Arbeiten mit dem 3Shape Trios 3 Intraoralscanner

Dr. Dr. Rainer Fangmann, M. Sc. M.A., Helena Fangmann, ZTM Fabian Zinser
Veröffentlicht 03/2018 in der Teamwork unter dem Titel
"Der digitale Workflow - ein Gewinn für alle Beteiligten?"

Zweitveröffentlichung 04/2018 in der BDIZ EDI Konkret unter dem Titel
"Wie der digitale Workflow die Teamarbeit stärkt"

Arbeiten mit dem 3Shape Trios 3 Intraoralscanner

Im Mittelpunkt jedes Therapiekonzeptes steht ein Patient mit seinen Ansprüchen, Wünschen und Ängsten. Insbesondere bei implantatgestützten Rekonstruktionen ermöglicht der Einsatz moderner Techniken im digitalen Workflow dem Team aus Chirurg, Protethiker und Zahntechniker, den Patienten in weniger Sitzungen vorhersagbar zu versorgen als bei einem rein analogen Vorgehen.

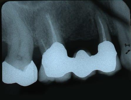
Abb. 1: Ausgangsituation Zahnfilm

Abb. 1: Ausgangsituation Zahnfilm

Abb. 2: präoperative Messkugelaufnahme

Abb. 2: präoperative Messkugelaufnahme

Abb. 3: verschraubtes und verblocktes Langzeitprovisorium aus PMMA

Abb. 3: verschraubtes und verblocktes Langzeitprovisorium aus PMMA

Anamnese

Die 76-jährige Patientin stellt sich mit einer seit Jahren bestehenden Brückenversorgung im ersten Quadranten in der Praxis vor (Abb. 1). Die Pfeilerzähne 14 und 16 waren seit Jahren wurzelkanalbehandelt. Der mesiale Brückenpfeilerzahn zeigte eine apikale Beherdung mit Parodontalspaltverbreiterung. Insgesamt wies die Brücke einen Lockerungsgrad von 1 bis 2 auf. Die hauszahnärztlich angebotene erneute zahngetragene Brückenversorgung mit Ausdehnung auf den Eckzahn 13 wurde von der Patientin nicht favorisiert. Deshalb wurde der Patientin eine Entfernung der gesamten Brücke mit Sofortimplantation und Sofortversorgung in Nonokklusion angeraten (Abb. 2). Es wurden in Lokalanästhesie drei Straumann Bone Level Tapered Implantate gesetzt. In derselben Sitzung erfolgte die konventionelle Abformung beider Kiefer. Binnen 24 Stunden wurde ein verschraubtes und verblocktes Langzeitprovisorium aus PMMA auf Klebebasen (Straumann) in Nonokklusion erstellt (Abb. 3). Dieses Langzeitprovisorium verblieb 26 Monate in situ. Nach dem Entfernen des Langzeitprovisoriums zeigten sich perfekt ausgeformte Schleimhautemergenzprofile. Es wurden die entsprechenden Scanbodys eingeschraubt. Die Scandaten wurde mit dem 3Shape Trios 3 von Straumann erhoben und dem Labor übersandt (Abb. 4). Die Farbbestimmung erfolgte über den Scanner.

Abb. 4: Intraorale Scandaten in Okklusion

Abb. 4: Intraorale Scandaten in Okklusion

Abb. 5: Intraorale Scandaten vom Oberkiefer

Abb. 5: Intraorale Scandaten vom Oberkiefer

Abb. 6: Intraorale Scandaten vom Unterkiefer

Abb. 6: Intraorale Scandaten vom Unterkiefer

Digitale Auftragsannahme mit dem Trios 3

 

Der Datensatz erreichte das Dentallabor via 3shape communicate, einer Plattform, die den sicheren Datenaustausch zwischen den Partnern ermöglicht. Auf der Weboberfläche von communicate kann sich der Nutzer einen groben Überblick mittels zur Verfügung gestellter Screenshots über den Fall verschaffen. Der digitale Auftragszettel enthält alle für den Fall relevanten Daten, wie Art der Arbeit, Art der Implantate, Zahnfarbe et cetera. Besonders praktisch ist die hier einzurichtende E-Mail-Benachrichtigung. Wann immer dem Dentallabor ein neuer Fall zugesandt wird, erhält es per E-Mail die Benachrichtigung, dass ein neuer Fall vorliegt und von wem er gesendet wurde. In der Desktop-Anwendung des Dental Designers (3Shape) wird der Nutzer ebenfalls auf den neuen Fall aufmerksam gemacht. Die Trios Inbox ermöglicht es ihm, über die Annahme oder Ablehnung des Falls zu entscheiden. In den Systemeinstellungen kann der Nutzer allerdings auch optional hinterlegen, dass alle neuen Fälle automatisch angenommen werden. Diese erscheinen dann in der gewohnten Auftragsliste und werden durch ein Bild des Trios 3 Scaners symbolisiert. Der Techniker kann nun mit der Weiterverarbeitung beginnen. Zuerst wird der Auftrag geprüft. Im hier geschilderten Fall erfolgte die Versorgung von drei Straumann RC Implantaten mittels Variobase-Abutments mit der Sekundärteilhöhe 3,5 mm und vollverblendeten zementierten Zirkonoxid-Kronen.

Abb. 7: Festlegung der Okklusionebene im Dental Designer

Abb. 7: Festlegung der Okklusionebene im Dental Designer

Abb. 8: Digitale Modellherstellung mit Artikulationshilfen

Abb. 8: Digitale Modellherstellung mit Artikulationshilfen

Abb. 9: Festlegung der Zahnfleischmaske

Abb. 9: Festlegung der Zahnfleischmaske

Digitales Design mit dem Dental Designer

 

Der Workflow ergibt sich aus der Programmierung. Als erster Schritt erfolgt die Datenbereinigung. Hierbei entfernt der Techniker nicht-relevante Bereiche des Scans sowie mögliche Artefakte. (Abb. 5 und 6) Er richtet die Scans im virtuellen Artikulator ein und legt somit bereits den Grundstein für die folgende digitale Modellverarbeitung (Abb. 7). Im folgenden Schritt werden die mit dem 3Shape Trios 3 intraoral erfassten Scanmarker mit den in der Dental Designer Software hinterlegten DME-Dateien registriert. Hierbei ist besondere Präzision gefordert. Wird der Scanmarker nicht präzise registriert, ist die virtuelle Implantatposition nicht richtig dargestellt und die gefertigte Prothetik wird nicht passen. Softwareseitig stehen dem Nutzer zwei Arten der Registrierung zur Verfügung: die Ein-Punkt- und die Drei- Punkt-Registrierung. Je nach eingesetztem Scanmarker erweist sich die eine oder andere Variante als vorteilhafter. In dem gezeigten Fall erfolgte die Registrierung im Drei-Punkt-Verfahren. Die Software erzeugt im Anschluss automatisch die hinterlegten Datensätze der Modellanaloge und die in der Auftragsanlage ausgewählten Abutmentgeometrien in ihrer jeweilig korrekten Position. Die Ausformung des Emergenzprofils sowie die finale Gestaltung der Abutments werden im Dental Designer mittels Backward-Planning erstellt, das heißt, die zu versorgenden Zähne werden im ersten Schritt vollanatomisch in ihrer finalen Form und Ausdehnung modelliert. Danach arbeitet der Zahntechniker „rückwärts“ und erzeugt so die optimalen Abutments in Abhängigkeit des digitalen Wax-ups sowie die exakt reduzierten Zirkonoxid-Gerüste.

Abb. 10: Modellsituation ohne Stümpfe und Laboranaloge

Abb. 10: Modellsituation ohne Stümpfe und Laboranaloge

Abb. 11: Modellsituation mit entnehmbaren Stümpfen und Zahnfleischmaske

Abb. 11: Modellsituation mit entnehmbaren Stümpfen und Zahnfleischmaske

Abb. 12: Modellsituation mit Hybridabutments

Abb. 12: Modellsituation mit Hybridabutments

Digitale Arbeitsvorbereitung mit dem Trios 3

Mit der Fertigstellung des Designs der Abutments sowie der Verblendkappen. führt die Software den Zahntechniker in die digitale Arbeitsvorbereitung. Bereits im ersten Schritt legte der Zahntechniker die Okklusionsebene fest und bereinigte die Scans. Aus diesem aufbereiteten Datensatz wurden digitale Arbeitsmodelle erstellt. Praktisch ist die Möglichkeit, Beschriftungen direkt in die Modelle einzupflegen, um so im Laboralltag eine direkte Zuordnung zu gewährleisten. An die Modelle wurden jeweils drei Artikulationshilfen angesetzt (Abb. 8). Abschließend segmentierte der Zahntechniker die Zahnfleischmaske (Abb. 9) und die Software stanzte automatisiert die bereits im Vorfeld erstellten Abutments sowie die hinterlegten digitalen Laboranaloge aus.

Abb. 13: Digitale Farbbestimmung

Abb. 13: Digitale Farbbestimmung

Abb. 14: Modellsituation mit verblendeten Kronen

Abb. 14: Modellsituation mit verblendeten Kronen

Abb. 15: Modellsituation in Okklusion

Abb. 15: Modellsituation in Okklusion

Digital trifft analog

 

Die erstellten digitalen STL-Daten der Modelle wurden in der CAM-Software des 3D-Druckers positioniert und zum Drucker gesendet. In der CAM-Software der Fräsmaschine erfolgte das Nesting der designten Abutments und Verblendkappen in einem Zirkonoxid-Block (Abb. 10 bis 12). Hier endete die digitale Prozesskette im vorliegenden Fall. Die gedruckten Modelle artikulierte das Dentallabor ein. Ebenso wurden die digitalen Laboranloge im Modell mit Pattern Resin fixiert. Die Aufbereitung der Abutments und die damit verbundene Güte der Oberfläche erfolgte nach dem von Rinke et al. erarbeiteten Protokoll. Zur Verbindung von Variobase und Zirkonoxid kam ein Multilink Hybrid-Abutmen zum Einsatz. Im Anschluss erfolgte die keramische Verblendung der anatomisch reduzierten Zirkonoxid-Kappen nach den Vorgaben des intraoralen Scans (Abb. 13) und der Versand in die Praxis (Abb. 14 und 15). Nach dem Einbringen der Abutments auf Klebebasis mit 35 Ncm (Abb. 16 bis 18) wurden die Schraubenkanäle mit Komposit verschlossen. Die definitiven Kronen wurden nach der Ästhetik-, Funktions- und Okklusionsprüfung mit implantlink semi Forte von Detax eingesetzt (Abb. 19 und 20).

Abb. 16: Eingliederung mittels Übertragungsschlüssel aus Pattern Resign

Abb. 16: Eingliederung mittels Übertragungsschlüssel aus Pattern Resign

Abb. 17: Okklusalansicht der Hybridabutments in Situ (1)

Abb. 17: Okklusalansicht der Hybridabutments in Situ (1)

Abb. 18: Okklusalansicht der Hybridabutments in Situ (2)

Abb. 18: Okklusalansicht der Hybridabutments in Situ (2)

Fazit zum Trios 3

 

Die Digitalisierung der Zahnmedizin und der Zahntechnik, wie in diesem Fall gezeigt, schafft es, eine effiziente und damit rationelle Versorgung unserer Patienten zu ermöglichen. Behandlungszeiten können reduziert werden. Wichtige Informationen werden mittels Trios 3 Intraoralscan in Farbe an das zahntechnische Labor übermittelt und befähigen die beteiligten Zahntechniker, umfangreiche Impressionen des Patienten zu erhalten. Zudem stärkt der digitale Workflow die Teamarbeit. „Teamarbeit halbiert den Aufwand und verdoppelt den Nutzen.“ [1]

Abb. 19: Abschlussbild

Abb. 19: Abschlussbild

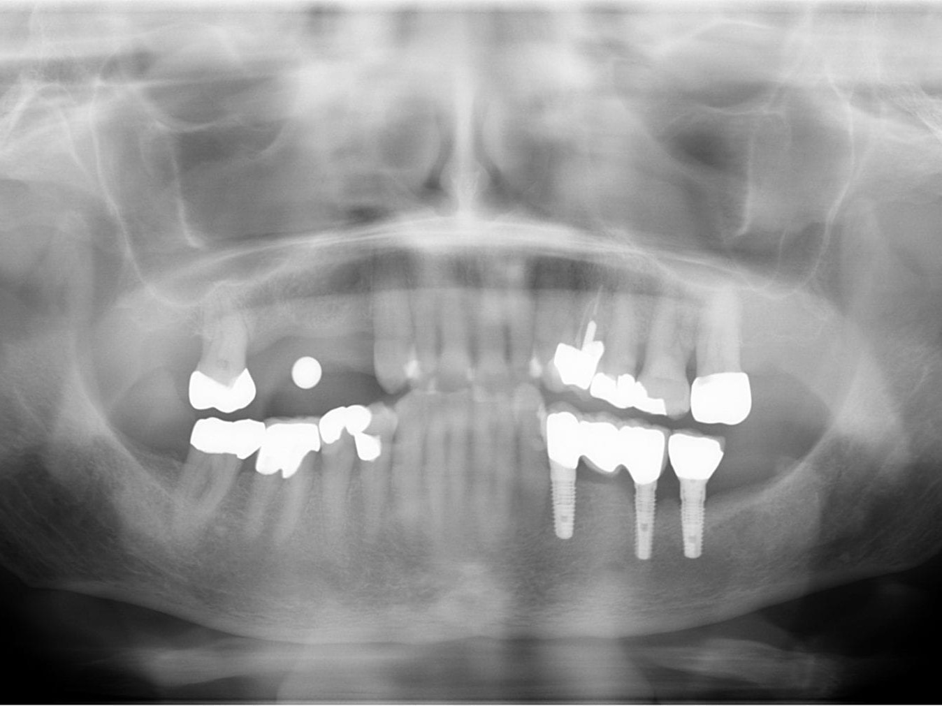
Abb. 20: Abschluß-OPG

Abb. 20: Abschluß-OPG

1. Meier, Rolf (2006): Erfolgreiche Teamarbeit. 25 Regeln für Teamleiter und Teammitglieder. Offenbach: Gabel.
2. Gerne, Wolfgang; Biffar, Reiner; Schweizer, Norbert; Ehrenfeld, Michael (Hg) (2011): Zahnärztliche Prothetik. 4. Auflage s.l: Georg Thieme Verlag KG. Online verfügbar.

Download

Veröffentlicht wurde der Beitrag bei dental-online-channel.com

Download

Veröffentlicht wurde der Beitrag bei BDIZ EDI

Privacy Preference Center